Radiologie in der Herzdiagnostik: Raus aus den Kinderschuhen



Radiologie in der Herzdiagnostik: Cardio-CT und -MRT sind heute in die kardiale Diagnostik voll integrierte Methoden, die nicht in Konkurrenz zu den kardiologischen bildgebenden Verfahren stehen. Sie bieten vielmehr neue, anderweitig nicht erreichbare diagnostische Möglichkeiten oder ergänzen die kardiologische Bildgebung für spezielle Indikationen.
Die bildgebende Diagnostik des Herzens lag jahrzehntelang mit der Echokardiografie und der Koronarangiografie in den Händen der Kardiologie. Schließlich konnte die Radiologie mit dem Röntgen-Thorax zwar ein sehr beliebtes und häufig angewandtes, differenzialdiagnostisch aber selten zielführendes Verfahren beitragen. Nun ist die Radiologie in Sachen Herzdiagnostik erwachsen geworden: Mit der Entwicklung der Cardio-CT und der Cardio-MRT stehen zwei Methoden zur Verfügung, die in mancherlei Hinsicht die kardiale Diagnostik auf nicht-invasive Weise revolutionieren. Im Folgenden werden in Anlehnung an die kürzlich publizierten gemeinsamen Konsensusempfehlungen der Deutschen Röntgengesellschaft, der Deutschen Gesellschaft für Kardiologie und der Deutschen Gesellschaft für pädiatrische Kardiologie zur kardialen CT und MRT einige Indikationen bzw. Indikationsgruppen für die beiden Verfahren beschrieben.
Cardio-CT: Computertomografie des Herzens
Durch die Multidetektor-CT mit Integration der EKG-Triggerung und schneller Gantry-Rotation wurden kurze Akquisitionszeiten und das „Einfrieren" der schnell bewegenden Herzstrukturen ermöglicht. Die 64-Zeilen-Scanner gelten heute als Mindeststandard für die Cardio-CT. Die letzte Generation der MDCT für die kardiale Bildgebung bilden die 256-Zeilen-Scanner, die 320-Zeiler mit breitem Detektor („Volume CT") und die „Dual-source"-CT. Neben der stetigen Verbesserung der Bildqualität und damit der diagnostischen Sicherheit der Cardio-CT ist auch die Strahlenbelastung gesenkt worden. Während anfangs effektive Dosen von 10-20 mSv üblich waren, sind heute qualitativ hochwertige Scans unter 1 mSv möglich.
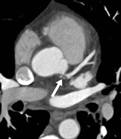
Koronararterien und CT-Koronarangiografie (CTCA): Erst mit diesen technischen Errungenschaften wurde es möglich, die Koronararterien nicht-invasiv und in hoher diagnostischer Qualität abzubilden (Abb. 1). Somit ergeben sich für die koronare Herzkrankheit (KHK) gute Indikationen. Bei der stabilen Angina pectoris kann die CTCA zur Erstdiagnostik bei Patienten mit mittlerer Vortestwahrscheinlichkeit zum Stenosenachweis und zum Ausschluss relevanter Koronarstenosen eingesetzt werden. Auch bei instabiler Angina pectoris ohne typische EKG-Veränderungen und Troponin-Anstieg ist die CTCA in der Lage, Koronarstenosen oder -verschlüsse bei Patienten mit niedriger bis mittlerer Vortestwahrscheinlichkeit zuverlässig auszuschließen. Die Kontrolle aorto-koronarer Bypässe gelingt im Allgemeinen sehr gut, da die Gefäßkaliber groß sind und sich die Gefäße weniger schnell bewegen. Schließlich kann die CTCA zum Ausschluss einer relevanten KHK vor nicht-koronarer Herz-OP eingesetzt werden. Zur Abklärung von Koronaranomalien ist die CTCA eine der Methoden der Wahl und der Katheter-Angiografie sogar überlegen.
Darstellung der Herzens und der übrigen Gefäße: Die CT ist die anerkannte Methode der Wahl zur Planung des interventionellen Aortenklappenersatzes, d. h. vor transapikalem oder transarteriellem Aortenklappenersatz. Auch zur Planimetrie der Aortenklappe bei Stenose kann die CT eingesetzt werden, sofern Echokardiografie oder MRT nicht ausreichend sind. Eine etablierte Standard-Indikation ist die Darstellung der Pulmonalvenen vor geplanter Katheterablation bei Vorhofflimmern. Gute Indikationen sind zudem die Darstellung von Perikardergüssen, bei denen zwischen serösem und blutigem Erguss unterschieden werden soll, und des Perikards selbst, z. B. für Verkalkungen bei V. a. Pericarditis constrictiva. Unstrittig ist die Eignung der CTA zur Darstellung angeborener Gefäßanomalien, wenn auch gerade bei jungen Patienten wegen der Strahlenbelastung die MRT vorzuziehen ist.
Cardio-MRT: Magnetresonanztomografie des Herzens
Durch hohe Feldstärken (1,5 oder 3 Tesla) und Hochleistungsgradienten gelingt es mittels MRT seit etwa der Jahrtausendwende, die komplexen und sich schnell bewegenden Herzstrukturen zuverlässig abzubilden. Inzwischen ist durch Fortschritte der Spulen- und Sequenztechnik die Cardio-MRT als vollwertige klinische Methode etabliert. Sie verbindet einerseits hochqualitative und wenig störanfällige funktionelle Bildgebung mit quantitativen Verfahren. Dadurch können kardiale Wandbewegung und Flüsse ähnlich der Echokardiografie erfasst und wichtige Parameter für die Herzleistung errechnet werden. Aufgrund des intrinsisch hohen Weichteilkontrastes andererseits ist die Cardio-MRT die einzige Methode, die am Herzen auf nicht-invasive Weise Gewebscharakterisierung vornehmen kann. Damit kann sie akute oder chronische Veränderungen des Myokards, z. B. Entzündung und Fibrose, nachweisen und die Differenzialdiagnostik solcher Erkrankungen erheblich erleichtern.
Koronare Herzkrankheit (KHK): Die Diagnostik von Wandbewegungsstörungen des linken Ventrikels ist die Basis jeder MR-Untersuchung. Regionale und globale Funktionsstörungen können sicher detektiert und quantifiziert werden. Typische Indikationen für die Stress-MRT zur Ischämiediagnostik sind die KHK bei unklaren Voruntersuchungen und Einschätzung der Relevanz von „intermediären" Koronarstenosen. Grundsätzlich stehen zwei gleichsam zuverlässige Prinzipien zur Verfügung: einerseits die Funktionsanalyse in Ruhe und unter Stress mit Dobutamin, andererseits die First-pass-Myokardperfusion mit Gadolinium Kontrastmittel unter Adenosin und in Ruhe. Die wahrscheinlich am häufigsten angeführte Indikation ist die myokardiale Vitalitätsdiagnostik, d. h. die Detektion und Quantifizierung myokardialer Narben nach Myokardinfarkt. Beim akuten Koronarsyndrom kann die MRT gut eingesetzt werden, um einen Infarkt von nicht-ischämischen Erkrankungen abzugrenzen und das Ausmaß eines Infarkts zu beurteilen.
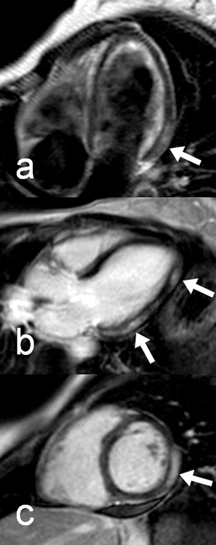
Entzündliche Myokardkrankheiten: Eine Domäne der Cardio-MRT ist die Myokarditis. War die akute Myokarditis aufgrund der unspezifischen Befunde bislang eher eine Ausschlussdiagnose, kann sie heute mit der Cardio-MRT direkt nachgewiesen werden. Typische Befunde sind Myokardödem und spezielle Muster der Kontratsmittelanreicherung (Abb. 2). Die chronische oder abgelaufene Myokarditis kann oftmals in Angrenzung zu ischämischen Myokardveränderungen als Ursache für eine eingeschränkte Ventrikelfunktion identifiziert werden. Andere Myokarderkrankungen können ebenfalls diagnostiziert werden. So spielt die Frage nach kardialer Beteiligung bei Systemerkrankungen eine immer wichtigere Rolle. Zu nennen sind dazu in erster Linie die Sarkoidose, aber auch Amyloidose, Sklerodermie und viele andere. Viele dieser Erkrankungen können mittels MRT mit hoher diagnostischer Genauigkeit identifiziert werden. Oft kann die Cardio-MRT deswegen den Patienten heute die Myokardbiopsie ersparen.
Kardiomyopathien: Die primären Kardiomyopathien können vielfach mit der Cardio-MRT zuverlässig diagnostiziert und gegenüber anderen Ätiologien differenzialdiagnostisch abgegrenzt werden - so z. B. die primäre DCM gegen die „ischämische Kardiomyopathie" oder die HCM gegen die hypertoniebedingte LV-Hypertrophie. Die MRT ist Methode der Wahl zur Bildgebung bei V. a. ARVD. Auch bei den sekundären Kardiomyopathien kann die MRT einen wichtigen Beitrag leisten.
Nutzen der MRT bei sonstigen Herzkrankheiten: Die MRT ist bei der Erfassung komplexer angeborener Herz- und Gefäßanomalien, die echokardiografisch nicht komplett erfasst werden können, unangefochten die Methode der Wahl. Charmant ist gerade dafür die Kombination aus funktioneller und morphologischer Bildgebung ohne Röntgenstrahlung. Klappenvitien und besondere Fragestellungen dieses Themenkomplexes können ergänzend zur Echokardiografie untersucht werden. Viele andere Anwendungen, die hier keine Erwähnung mehr finden können, stehen zur Verfügung und erleichtern die diagnostische Arbeit gerade bei unklaren oder kniffligen Fällen.
Meist gelesen

Kostenoptimierung und Förderung strategischer Beschaffung
Kostensenkungen und kurzfristige Kürzungen können die Flexibilität, die Leistung und die strategische Ausrichtung eines Unternehmens beeinträchtigen.

„Eigenständigkeit wertet den Pflegeberuf auf“
Bundesgesundheitsministerin Nina Warken im Interview: APN – Advanced Practice Nurse – soll die akademische Laufbahn innerhalb der Pflegeberufe öffnen und damit bessere Karriereaussichten ermöglichen.

Pro Care 2026 zeigt innovative Versorgungslösungen aus der Hauswirtschaft
Pflegequalität entsteht nicht nur am Pflegebett, sondern in allen Bereichen des Alltags, die das Leben in einer Einrichtung prägen.

Richtiges Händewaschen: Die Temperatur ist nicht entscheidend
Welchen Einfluss hat die Wassertemperatur, die Waschdauer und die Wassermenge auf das Händewaschen? Zwei Studien der Medizinischen Universität Wien zeigen überraschende Ergebnisse.

"Die Quellensuche war eine Herausforderung“
Am Universitätsklinikum Frankfurt am Main trat 2023 eine systemische P. aeruginosa Trinkwasserkontamination auf. Als wahrscheinliche Kontaminationsquelle wurde ein Wasserzähler identifiziert.





