Aggressive Hirntumore dank innovativer Bildgebung und KI präzise bestrahlen
Mit 1,2 Mio. Euro fördert die Europäische Union ein internationales Projekt unter Leitung des Universitätsklinikums Freiburg zur Bestrahlung gefährlicher Hirntumore.
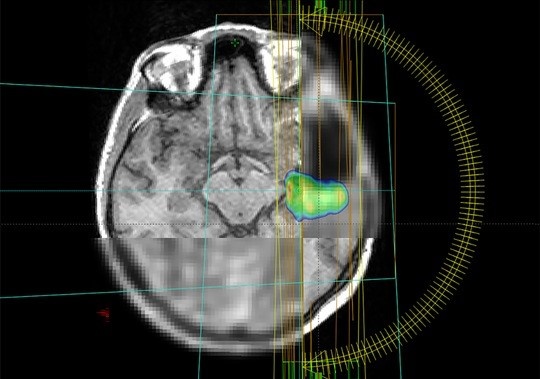
Glioblastome sind seltene, aber besonders aggressive Hirntumore. Häufig werden sie mit einer Strahlentherapie behandelt. Ein internationales Forschungsteam unter Leitung des Universitätsklinikums Freiburg untersucht nun in der Studie MATTO-GBM, wie der Tumor mit maximaler Intensität bestrahlt und umliegendes, gesundes Gewebe geschont werden kann. Dabei setzen die Forschenden auf eine erweiterte Bildgebung und eine Unterstützung durch Künstliche Intelligenz bei der Bildanalyse. Das Projekt wird von der Europäischen Union im Rahmen des Horizon 2020-Programms über drei Jahre mit 1,2 Mio. Euro gefördert.
„Wir hoffen, dadurch die Strahlenbehandlung von Patienten mit Hirngliomen signifikant zu verbessern“, sagt die Leiterin des Forschungsprojektes Prof. Dr. Anca-L. Grosu, Ärztliche Direktorin der Klinik für Strahlenheilkunde am Universitätsklinikum Freiburg. Ärzte und Forscher der Klinik für Strahlenheilkunde untersuchen seit vielen Jahren die Rolle der Bildgebung in der Strahlenbehandlung für Patienten mit Hirntumoren.
Wichtige Einblicke in den Tumor
Statt wie bisher meist nur Bilder aus dem Magnet-Resonanz-Tomografen (MRT) zu verwenden, nutzt das Forschungsteam aus Spanien, Deutschland und Österreich in der aktuellen Studie auch auf die Positronen-Emissions-Tomografie (PET)-Bildgebung. „Wie wollen durch die Kombination aus MRT und PET die biologischen Eigenschaften der Tumore besser verstehen. Damit wird der Stoffwechsel im Tumor sichtbar und eine hochwirksame Bestrahlung besonders gefährlicher Tumoranteile möglich“, sagt die Physikerin Monserrat Carles Fariña, die sowohl in Valencia, Spanien, als auch am Universitätsklinikum Freiburg im Projekt aktiv involviert ist.
Mit KI die Behandlung international vereinheitlichen
Ein weiterer Fokus der Studie liegt auf dem Einsatz von Künstlicher Intelligenz: Sie hilft, den Tumor auf den Bildern genauer zu definieren und vorherzusagen, wann und wo er möglicherweise wieder auftreten könnte. Ein großes Ziel der Forscher*innen ist die Schaffung eines frei zugänglichen digitalen Tools. Dieses soll es Krankenhäusern weltweit ermöglichen, die Therapie des Glioblastoms auf das individuelle Risikomuster von einzelnen Patient*innen abzustimmen und so die Lebensqualität der Betroffenen zu erhöhen. Das Projekt bringt Spezialisten aus den Bereichen Künstliche Intelligenz, Radioonkologie, Nuklearmedizin, Neuroradiologie, Medizinphysik, Neuropathologie und Neurochirurgie zusammen.
















