Endotheliale Dysfunktion: Frühe Diagnostik und Therapie
Endotheliale Dysfunktion: Frühe Diagnostik und Therapie. Die Mortalität durch kardiovaskuläre Komplikationen fußt u.a. auf arterieller Hypertonie, Adipositas, Dyslipoproteinämie und Diabetes.

Das Risiko, innerhalb von zehn Jahren an kardiovaskulären Komplikationen zu versterben, beträgt allein durch das Vorhandensein eines Diabetes mehr als 20 %.
Liegt gleichzeitig eine schwerwiegende koronare Herzkrankheit vor, erhöht es sich sogar auf 60 %.
Präventionsprogramme gegen die Arteriosklerose spielen deshalb eine bedeutende Rolle. Eine Behandlung der Gesamtpopulation ist jedoch nicht möglich und wenig sinnvoll.
Das Dilemma, welche Patienten ab wann behandelt werden sollten, bleibt noch offen.
Zur Unterstützung dieser Entscheidung wurden sog. Surrogatparameter vorgeschlagen, die Anfangsstadien der Arteriosklerose widerspiegeln, wie z.B. die Messung der Endothelfunktion.
Die Endothelzellen spielen eine zentrale Rolle in der Entstehung/ Vorbeugung der Arteriosklerose.
Die Endotheldysfunktion (ED) wird definiert als ein Ungleichgewicht zwischen vasodilatierenden und vasokonstriktorischen Substanzen, produziert von den (oder wirkend auf die) Endothelzellen.
Die Messung der Endothelfunktion erlaubt die Identifikation von Patienten, die sich in frühen, „präklinischen“ Stadien der Arteriosklerose befinden, also genau die Gruppe, die von Präventionsprogrammen wahrscheinlich am meisten profitieren würden.
Eine Verbesserung der Endothelfunktion kann bereits innerhalb von drei Tagen nach Einleiten einer Therapie gemessen werden.
Dies hat für die Forschung eine enorme Bedeutung, da auf diese Weise kardiovaskuläre Effekte viel schneller nachgewiesen und klinische Studien kürzer gestaltet werden können.
Um z.B. den Einfluss einer Therapie auf die Intima-Media-Dicke (ein morphologischer Surrogatparameter der Arteriosklerose) zu beobachten, ist eine Interventionszeit von mindestens sechs Monaten notwendig.
Es gibt unterschiedliche Verfahren zur Erfassung der ED.
Zu den nichtinvasiven zählen die flußabhängige Dilatation (flow mediated dilatation) der Arteria brachialis, die Messung der reaktiven Hyperämie mittels Laser- Doppler (Mikrozirkulation), die computergestützte venöse Verschlussplethysmographie der unteren Extremitäten, die Messung des Sauerstoffgehaltes mittels MRT (Blood oxygen level dependent: BOLD) und somit z.B. der reaktiven Hyperämie tief in der Muskulatur, die Positronen- Emmissions- Tomographie (myokardiale Durchblutung), oder die Messung der Pulswellenamplitude am Finger.
Die am häufigsten angewendeten invasiven Techniken sind die Messung der Vasodilatation nach intrakoronarer Infusion von Acetylcholin (der „goldene Standard” zur direkten Erfassung der Endothelfunktion in den Koronararterien) oder die intrakoronare Flussmessung, die invasive Variante der Verschlußplethysmographie sowie die Thermodilutionsmethode (untere Extremitäten).
Außer der „klinischen“ Erfassung der Endothelfunktion, meistens anhand des vasodilatierenden Effektes, gibt es die Möglichkeit, laborchemisch die Homöostase der Endothelzellen zu messen.
Als laborchemische Parameter zur Charakterisierung der ED gelten: plasminogen activator inhibitor (PAI-1), von Willebrand-Faktor (vWF), platelet activating factor (PAF), Adhäsionsmoleküle wie z.B. intercellular cell adhesion molecule 1 (ICAM-1), vascular cell adhesion molecule 1 (VCAM-1) und E-selectin (endothelial- leukocyte adhesion molecule-1).
Die vasomodulatorische Aktivität des Endothels wird durch ein Zusammenspiel zwischen vasodilatatorischen Substanzen (Stickstoffmonoxid: NO, Prostacyclin: PGI2 und endothelium derived hyperpolarizing factor: EDHF) und vasokonstriktiven Substanzen (Endothelin-1: ET-1, Thromboxan: TXA2 und Prostaglandin H2: PGH2) gewährleistet.
Die Messung einzelner Parameter gibt jeweils nur Teilinformationen über die Endothelfunktion. Ein weiterer Parameter, der als Synonym für eine ED gilt, ist das asymmetrische Dimethylarginin (ADMA).
Die flussabhängige Dilatation (FAD) der A. brachialis ist eine der etabliertesten Methoden zur Messung der Endothelfunktion.
Diese wurde von Celermajer et al. 1992 erstmals beschrieben.
Nach einer 4,5 minütiger suprasystolischer Stauung des Unterarmes kommt es zu einer Scherkraft-vermittelten NO-Freisetzung aus den Endothelzellen, die eine reaktive Vasodilatation der A. brachialis zur Folge hat.
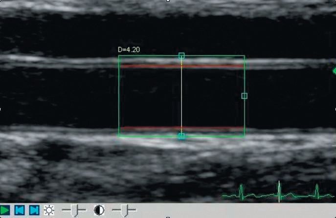
Das Ausmaß der Vasodilatation spiegelt das Ausmaß der NO-Produktion wider. Anhand hochauflösenden Ultraschalls wird der Gefäßdurchmesser der A. brachialis sowohl unter Ruhebedingungen, als auch 60–90 Sekunden nach dem Aufheben der Stauung bestimmt (Abb. 1).
Die prozentuelle Veränderung des Gefäßdurchmessers im Vergleich zum Ruhewert wird als FAD bezeichnet.
Die endothelunabhängige Vasodilatation (fünf Minuten nach der sublingualen Gabe von 0,4 mg Glyceroltrinitrat) wird üblicherweise als Kontrolle für ein noch dilatierfähiges Gefäßsystem parallel erfasst.
Dies dient zum Ausschluss größerer Funktionseinschränkungen durch bereits vorhandene morphologische Veränderungen (z.B. Plaques, Mediasklerose). Richtlinien für die Anwendung der FAD im Forschungsbereich wurden vor kurzem publiziert.
Eine Korrelation zwischen der FAD und dem Ausmaß der koronaren Herzerkrankung wurde nachgewiesen, gute Korrelationen mit Serummarkern der Endotheldysfunktion wurden ebenfalls beschrieben.
Die Endothelfunktion hat jedoch eine hohe Tag-zu-Tag-Variabilität und zeigt große Schwankungen sogar innerhalb eines Tages. Verschiedene Faktoren wie z.B. physische Aktivität, der hormonelle Status oder Schlafqualität tragen dazu bei.
Die wichtigste Rolle scheint jedoch dem postprandialen Status zuzukommen, unabhängig davon, ob es sich um Patienten mit Herzerkrankungen, Diabetes oder gesunde Probanden handelt.
Um vergleichbare Daten zu erheben, ist es also wichtig, bei der Messung der Endothelfunktion ähnliche Ausgangspositionen einzuhalten.
Es gibt leider noch keinen Konsens über Normwerte für die einzelnen Untersuchungen, dafür aber eine Vielzahl an Untersuchungen, die die Endothelfunktion in verschiedenen Gefäßsystemen erfasst.
Diese Systeme unterliegen unterschiedlichen Regulationen und werden im variablen Ausmaß von der Arteriosklerose betroffen.
Somit ist die Prognoserelevanz der ED gemessen an diversen Gefäßsystemen unterschiedlich zu gewichten.
Die FAD spiegelt mit Sicherheit nicht alle Aspekte der ED wider, stellt jedoch eine nichtinvasive, relativ günstige Methode dar, die in den Händen eines erfahrenen Untersuchers eine exzellente Screening- und Beobachtungsmethode darstellt.
Zu klinischen und wissenschaftlichen Zwecken wurde diese Methode am Herz- und Diabeteszentrum NRW etabliert und wird erfolgreich durchgeführt.
Eine größere Penetranz in den klinischen Alltag, bei uns und in anderen Zentren, ist zukünftig zu erwarten.
Kontakt:
Alin Stirban
Herz- und Diabeteszentrum NRW
D-Bad Oeynhausen
Tel.: 05731/973724
astirban@hdz-nrw.de
www.hdz-nrw.de













