Internationale Studie: Prostatakrebs gezielt bestrahlen
Anwendungsnahe Krebsforschung gefördert: Studie des Universitätsklinikums Freiburg zu präziser Strahlentherapie bei Prostatakrebs erhält 2,8 Millionen Euro vom Bundesministerium für Bildung und Forschung (BMBF).
Prostatakrebs ist die häufigste Krebserkrankung bei Männern in Europa. Dank enormer Fortschritte in der Bildgebung und technischer Innovationen in der Strahlentherapie ist es heute möglich, das Tumorgewebe bei Prostatakrebs sehr präzise zu bestrahlen. Daraus entstand die HypoFocal-SBRT Studie unter der Leitung von Prof. Dr. Anca-L. Grosu, Ärztliche Direktorin der Klinik für Strahlenheilkunde am Universitätsklinikum Freiburg, die die klinische Praxis und Behandlung der Betroffenen maßgeblich verändern könnte. Das Bundesministerium für Bildung und Forschung BMBF fördert die Studie mit rund 2,8 Millionen Euro über vier Jahre mit der Option auf Verlängerung um weitere vier Jahre.
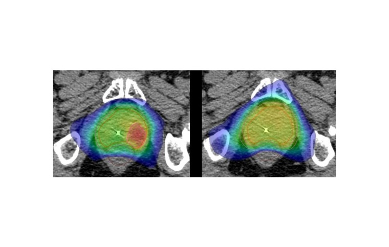
Statt wie bisher die gesamte Prostata gleichmäßig zu bestrahlen, werden im Rahmen der HypoFocal-SBRT-Studie zusätzlich gezielt jene Bereiche des Organs, in denen die hochpräzise Bildgebung den Tumor anzeigt, mit besonderer Intensität bestrahlt. Dadurch soll eine verbesserte, effektivere Therapie und Schonung des umliegenden Gewebes, wie Blase und Darm erreicht werden. Zudem verkürzt sich die Behandlungszeit deutlich.
Tumorgewebe zerstören, umliegendes Gewebe schonen
Das Studienteam um Grosu und Junior-Co-Studienleiter Dr. Simon Spohn, Arzt an der Klinik für Strahlenheilkunde des Universitätsklinikums Freiburg, rechnet bei dem neuen Vorgehen mit einer hohen Erfolgsquote, geringen Nebenwirkungen und einer Verbesserung der Lebensqualität. „Die neue Methode verspricht eine bessere Heilungsrate bei Prostatakrebs ohne vermehrte Nebenwirkungen“, sagt PD Dr. Constantinos Zamboglou, auch Co-Projektleiter der HypoFocal-SBRT Studie. „Zusätzlich hat unsere Studie das Potenzial, die Behandlungszeit von acht auf vier Wochen oder sogar auf nur fünf Tage zu verkürzen“, ergänzt Zamboglou. Die Behandlung ist nicht invasiv und daher weniger belastend für Betroffene. Sie wird perkutan, also über die unverletzte Haut durchgeführt. Patienten benötigen weder Schmerzmittel noch eine Narkose.
Die Planung und Durchführung dieser Studie erfolgen in enger Zusammenarbeit verschiedener Fachbereiche des Tumorzentrums Freiburg – CCCF am Universitätsklinikum Freiburg (Urologie, Radiologie, Nuklearmedizin, Pathologie, Psychoonkologie) und mit Vertretern des Bundesverbands Prostata Selbsthilfe e.V. Mit Freiburg als erstem Prüfzentrum konnte das Forschungsprojekt Mitte August starten. Mehr als 20 weitere Zentren werden in Deutschland, der Schweiz, Österreich und in Zypern an der Studie teilnehmen.
„Wir freuen uns sehr, dass das sehr vielversprechende und praxisrelevante Forschungsprojekt die Begutachter überzeugen konnte. Das ist eine Bestätigung der hohen fachlichen Expertise in der onkologischen Forschung und Behandlung am Klinikum“, sagt Prof. Dr. Lutz Hein, Dekan der Medizinischen Fakultät der Universität Freiburg und Vorstandsmitglied des Universitätsklinikums Freiburg.












