Molekulare Achillesferse von Darmkrebszellen entdeckt
Experten der Technischen Universität München (TUM) am Universitätsklinikum rechts der Isar und am ZIEL – Institute for Food & Health – in Freising ist es erstmals gelungen, Unterschiede im Fettstoffwechsel von Darmkrebszellen zu belegen

Woher zieht ein bösartiger Tumor die Energie, die er braucht, um immer weiter wachsen zu können? Das ist eine zentrale Frage der Krebsforschung. Denn: Kennt man die Energiequelle, könnte man dem Tumor vielleicht die Zufuhr abschneiden, ihn sozusagen „aushungern“. Die Grundlagen genau dafür haben jetzt Forscher und Mediziner der Technischen Universität München (TUM) am Universitätsklinikum rechts der Isar und am ZIEL – Institute for Food & Health – in Freising gelegt, in Kooperation mit Kollegen der Universitäten in Regensburg, Dresden, Leiden (NL) und des Weill Cornell College in New York. Sie lieferten erstmals Belege dafür, dass sich der Fettstoffwechsel in gesunden Zellen der Darmschleimhaut und Darmkrebszellen „grundlegend unterscheidet“, wie Prof. Klaus-Peter Janssen, Biologe in der Chirurgischen Klinik und Poliklinik des Universitätsklinikums rechts der Isar sagt. „Daraus könnten sich neuartige Möglichkeiten der Krebstherapie ergeben, die direkt im veränderten Stoffwechsel des Tumors ansetzen.“ Die Ergebnisse ihrer Arbeit wurden im Fachjournal „Gastroenterology“ veröffentlicht („The colorectal cancer lipidome – identification of a robust tumor specific lipid species signature“).
„Einige Messungen deuteten bereits darauf hin, dass sich der Fettstoffwechsel in gesunden Zellen und Krebszellen deutlich unterscheidet“, erklärt Janssen. Allerdings: Die Ergebnisse dieser Arbeiten waren sehr inkonsistent. So schienen einige der Untersuchungen solche Unterschiede zu belegen, andere ergaben ein gegenteiliges Ergebnis. „Diese Frage war bislang sehr umstritten“, bestätigt Janssen.
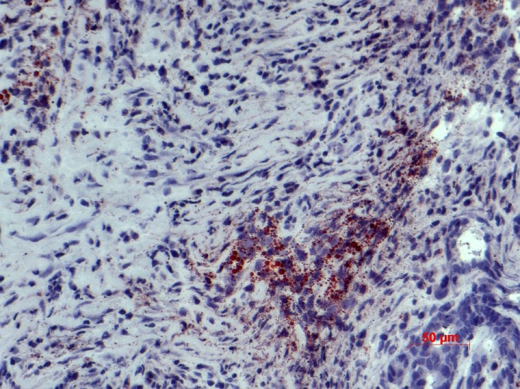
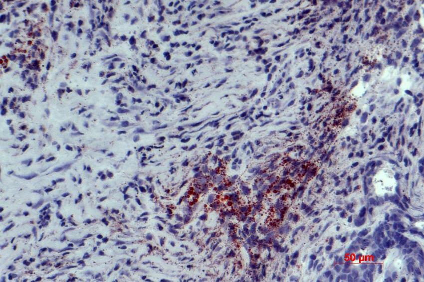
Um Klarheit zu schaffen, entnahmen Chirurgen am Klinikum rechts der Isar Gewebeproben aus operativ entfernten Tumoren von insgesamt 144 Patienten mit Darmkrebs. Die Betroffenen hatten vor dem Eingriff ihre Erlaubnis gegeben, die Proben für wissenschaftliche Zwecke nutzen zu dürfen. „Ohne die Unterstützung der Patienten wäre diese Arbeit nicht möglich gewesen“, betont Janssen. Die Gewebeproben wurden vor Ort umgehend aufbereitet und anschließend am ZIEL in Freising sowie an der Universitätsklinik Regensburg per „Massenspektrometrie“ analysiert. Das ist ein biochemisches Verfahren, mit dem sich nach spezieller Vorbereitung Art und Masse bestimmter Moleküle in einem Gewebe quantitativ bestimmen lassen – in diesem Fall von rund 200 verschiedenen Lipiden.
Um zu belegen, dass die Messergebnisse keine Zufallsbefunde, sondern reproduzierbar sind, wurden die Patient*innen zwei Gruppen („Kohorten“) zugeteilt, die entnommenen Gewebeproben separat analysiert, um die Ergebnisse anschließend miteinander zu vergleichen. Ergänzend wurden Analysen von Gewebeproben einer weiteren Gruppe von 20 Darmkrebs-Patienten verglichen, die an der Universität Dresden unabhängig davon untersucht worden waren.
Wie ein „Fingerabdruck“: Spezifische Lipid-Signatur von Darmkrebszellen belegt
So konnten die Forscheren in allen drei Kohorten den Beleg dafür liefern, dass „Darmkrebszellen tatsächlich eine spezifische Lipid-Signatur haben“, sagt Janssen, dass sie also ein bestimmtes Muster verschiedener Lipid-Moleküle aufweisen – „gewissermaßen ein Fingerabdruck, mit dem sich sehr zuverlässig Krebszellen von normalen Zellen unterscheiden lassen. Diese Signatur hat auch prognostische Bedeutung, erlaubt also Aussagen über den Krankheitsverlauf.“
Die Veränderungen im „Lipidom“, der Gesamtheit der Lipide in einer Zelle, betraf dabei hauptsächlich sogenannte Sphingolipide und Glycerolipide. Diese Unterschiede spiegelten sich auch auf genomischer Ebene wieder: So konnten die Forscher nachweisen, dass die Aktivität bestimmter Gene, die den Bauplan für verschiedene Enzyme liefern, ebenfalls stark verändert war. Enzyme sind funktionelle Eiweiße, die unter anderem wichtig für die Herstellung von Stoffwechselprodukten wie Lipiden sind. Genau hier könnte man ansetzen, um Krebszellen die Energiezufuhr abzuschneiden und so ihr Wachstum zu bremsen – indem man Wirkstoffe findet, die gezielt einzelne dieser Enzyme aktivieren oder hemmen, um so den Krebs medikamentös auszuhungern.
Enge Kooperation entscheidend
Ganz entscheidend für den Durchbruch in der umstrittenen Frage nach Unterschieden in der Lipid-Signatur war dabei die enge Zusammenarbeit und räumliche Nähe von Forschern und Medizinern im Universitätsklinikum rechts der Isar sowie die Kooperation mit den Kollegen der TUM in Weihenstephan, die es in dieser Form nur selten gibt. Dabei war sie hier ganz besonders wichtig. Denn: „Lipide in Gewebeproben sind besonders sensible Moleküle, die sich zum Teil rasch verändern und leicht zerfallen“, erklärt Janssen. Wird entnommenes Tumorgewebe daher nicht sofort nach der Entnahme schockgefroren, fachgerecht weiterverarbeitet und gelagert, ist ein Teil der besonders empfindlichen Lipide bereits zerstört und das Ergebnis der Analyse somit verfälscht. Genau das könnte möglicherweise ein Grund für die Inkonsistenz bisheriger Studien gewesen sein: Nicht überall ist so eine enge Zusammenarbeit gewährleistet. Dass eine Lagerung von Gewebeproben unter nicht optimalen Bedingungen und über längere Zeit das Lipid-Muster verändert, konnten Janssen und seine Kollegen in ihrer aktuellen Arbeit ebenfalls klar belegen. Sie konnten zeigen, dass manche Lipide in Gewebeproben stabil bleiben, somit gut als „Biomarker“ geeignet sind, andere dagegen rasch abgebaut werden, zum Teil bereits eine Stunde nach der Operation völlig verändert sind.
Stichwort „Lipidomics“ – ein neues Forschungsfeld
Der Stoffwechsel gesunder und kranker Zellen unterscheidet sich – und damit auch die Art und Menge der darin entstehenden Moleküle wie Zucker, Eiweiße (Proteine) und Lipide, also fettartige Moleküle. Die Lipide sind wichtig für die Energiegewinnung und Speicherung einer Zelle, aber auch als zentrale Bestandteile von Zellmembranen oder als Signalmoleküle. „Die Gesamtheit aller Lipide einer Zelle bezeichnet man dabei als Lipidom“, erklärt Prof. Klaus-Peter Janssen. Von diesem Begriff leitet sich „Lipidomics“ ab – "ein ganz neues Feld der Forschung". Darin geht es darum, das „Lipidom“ verschiedener Zellen miteinander zu vergleichen - und aus Unterschieden sowie Veränderungen Rückschlüsse zu ziehen: Wie unterscheidet sich also zum Beispiel das Lipid-Muster einer Darmkrebszelle im Vergleich zu einer gesunden Zelle der Darmschleimhaut? Gibt es womöglich Veränderungen, die typisch für Krebszellen sind – und lässt sich dieses Wissen nutzen, um gezielt neue Wirkstoffe zu entwickeln? „Lipidomics“ ist ein Teilbereich der bekannteren „Metabolomics“. Dieser Fachbereich schließt alle Stoffwechselprodukte einer Zelle mit ein, das „Metabolom“ also. Der Fokus vieler Arbeitsgruppen lag bislang meist auf Zuckern, Nukleinsäuren (DNA, RNA) und Eiweißen, die sich leichter analysieren lassen. Lipide sind nicht nur sensitiver. „Sie waren auch mit den gängigen Methoden lange Zeit nur schlecht und sehr aufwendig messbar“, sagt Janssen. „Erst seit sich das geändert hat, sind sie ins Zentrum gerückt.“
Anbieter













