Multiple Sklerose mit neuem MRT-Verfahren sichtbar machen
ETH-Forschende haben ein neues Verfahren der Magnetresonanztomographie (MRT) entwickelt mit dem Multiple Sklerose (MS) frühzeitig erkannt und besser überwacht werden kann.

Das Verfahren bildet die Myelinscheiden im Gehirn genauer als bisher möglich ab. Der Verlust der Myelinscheiden ist ein wichtiges Merkmal der Multiplen Sklerose. Das neue MRT-Verfahren mit speziellem Kopfscanner könnte Forschenden auch dazu dienen, weitere feste Gewebetypen wie Bindegewebe, Sehnen und Bänder besser sichtbar machen.
Multiple Sklerose (MS) ist eine neurologische Erkrankung, die meist zu bleibenden Behinderungen führt. Weltweit sind etwa 2,9 Mio. Menschen davon betroffen, rund 15.000 allein in der Schweiz. Ein zentrales Merkmal der Erkrankung ist, dass das eigene Immunsystem die Myelinscheiden im Zentralnervensystem angreift und zerstört. Diese Schutzhüllen isolieren die Nervenfasern. Myelinhüllen sorgen dafür, dass elektrische Impulse schnell und effizient von Nervenzelle zu Nervenzelle gelangen. Sind sie beschädigt oder ausgedünnt, kann dies unter anderem zu irreversiblen Seh-, Sprech- und Koordinationsstörungen führen.
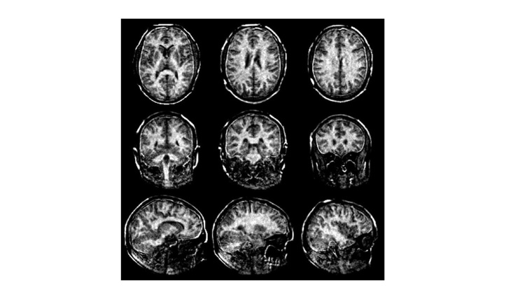
Bislang ist es jedoch nicht gelungen, die Myelinscheiden so gut sichtbar zu machen, dass diese Information für die Diagnose und Verlaufskontrolle von MS dienen könnte. ETH-Forschende um Markus Weiger und Emily Baadsvik vom Institut für Biomedizinische Technik der ETH Zürich und Universität Zürich haben dies nun geschafft. Sie haben ein neues Verfahren der Magnetresonanztomographie (MRT) entwickelt, das den Zustand der Myelinscheiden genauer als bisher möglich abbildet. Die Forschenden testeten das Verfahren erstmals erfolgreich an gesunden Menschen.
Das MRT-System mit speziellem Kopfscanner könnte Ärzten in Zukunft dabei helfen, MS frühzeitig zu erkennen und den Verlauf der Krankheit besser zu überwachen. Zudem könnte die Technologie die Entwicklung neuer Medikamente gegen MS erleichtern. Doch damit nicht genug: Das neue MRT-Verfahren könnte Forschenden auch dazu dienen, weitere feste Gewebetypen wie Bindegewebe, Sehnen und Bänder besser sichtbar machen.
Quantitative Myelinkarten
Mit herkömmlichen MRT-Geräten lassen sich die Myelinscheiden nur ungenau und indirekt abbilden. Der Grund dafür ist, dass die meisten Geräte auf Wassermoleküle im Körper reagieren, die durch Radiowellen in einem starken Magnetfeld angeregt werden. Die Myelinscheiden, die sich in mehreren Lagen um die Nervenfasern wickeln, bestehen jedoch hauptsächlich aus Fettgewebe und Proteinen. Nur zwischen diesen Lagen befindet sich das Myelinwasser. Standard-MRTs nutzen für ihre Bilder vor allem die Signale der Wasserstoffatome im Myelinwasser und bilden die Myelinscheiden nicht direkt ab.
Das neue MRT-Verfahren der ETH-Forschenden löst dieses Problem und misst den Myelingehalt direkt. Es versieht die MRT-Aufnahmen des Gehirns mit Zahlenwerten. Diese zeigen, wie viel Myelin an einer bestimmten Stelle im Vergleich zu anderen Bereichen des Bildes vorhanden ist. So bedeutet die Zahl 8, dass der Myelingehalt an dieser Stelle nur 8 Prozent von einem Maximalwert von 100 beträgt, was auf eine deutliche Ausdünnung der Myelinscheiden hinweist. Grundsätzlich gilt: Je dunkler der Bereich und je kleiner die Zahl im Bild, desto stärker sind die Myelinscheiden reduziert. Mit diesen Angaben könnten Ärzte den Schweregrad und Verlauf von MS besser einschätzen.
Signale binnen millionstel Sekunden messen
Die Myelinscheiden direkt abzubilden, ist allerdings schwierig. Das liegt daran, dass die Signale, die das MRT im Gewebe auslöst, viel kurzlebiger sind als die Signale, die vom Myelinwasser ausgehen. „Vereinfacht gesagt bewegen sich die Wasserstoffatome im Myelingewebe weniger frei als im Myelinwasser. Sie erzeugen daher viel kurzlebigere Signale, die nach einigen Mikrosekunden wieder verschwinden“, erklärt Weiger und ergänzt: „Und das ist sehr kurz, denn eine Mikrosekunde ist der Millionste Teil einer Sekunde.“ Ein herkömmlicher Kernspintomograph kann diese flüchtigen Signale gar nicht erfassen, da er nicht schnell genug misst.
Um genau das zu tun, verwendeten die Forschenden einen speziell angepassten MRT-Kopfscanner, den sie in den letzten zehn Jahren zusammen mit den Firmen Philips und Futura entwickelt haben. Dieser zeichnet sich durch besonders starkes Gefälle im Magnetfeld (Gradient) aus,. „Je grösser die Veränderung der Magnetfeldstärke ist, welche die drei Spulen im Scanner erzeugen, desto schneller können Informationen über die Position von Wasserstoffatomen aufgezeichnet werden“, sagt Baadsvik.
Erzeugen lässt sich ein solch starker Gradient über starken Strom und ein ausgeklügeltes Design. Da die Forschenden nur den Kopf scannen, ist das Magnetfeld weniger ausgedehnt und konzentrierter als bei herkömmlichen Geräten. Darüber hinaus kann das System schnell vom Senden der Radiowellen auf den Empfang der Signale umstellen. Dafür haben die Forschenden und ihre Industriepartner eine spezielle Schaltung entwickelt.
Die Forschenden haben ihr MRT-Verfahren bereits erfolgreich an Gewebeproben von MS-Patienten und an zwei gesunden Personen getestet. Als nächstes wollen sie es an MS-Patienten selbst testen. Ob der neue MRT-Kopfscanner künftig in Kliniken zu finden sein wird, hängt nun von der Industrie ab. „Wir haben gezeigt, dass unser Verfahren funktioniert. Jetzt liegt es an Industriepartnern, es zu implementieren und auf den Markt zu bringen“, sagt Weiger.














