Tag gegen den Schlaganfall
Eine neue MRT-Technik in der Universitätsmedizin Mainz erkennt Schlaganfälle in kürzester Zeit.

Forschende der Universitätsmedizin Mainz haben im Rahmen einer Studie erstmals eine KI-gestützte Magnetresonanz-Tomographie (MRT)-Methode untersucht, um akute ischämische Schlaganfälle effizienter detektieren zu können.
Dabei setzten sie einen Deep Learning-Algorithmus für die Bildrekonstruktion ein. Im Vergleich zur konventionellen MRT konnten die MRT-Bilder viermal schneller rekonstruiert werden. Zudem erzielte die KI-gestützte MRT eine höhere Bildqualität, so dass auch leichte Schlaganfälle zuverlässiger erkannt werden konnten. Die neue Methode hat großes Potential, die Notfalldiagnostik zu beschleunigen, um Patienten mit Schlaganfall-Verdacht schneller behandeln zu können. Das berichten die Wissenschaftler anlässlich des Tags gegen den Schlaganfall am 10. Mai. Die Forschungsergebnisse wurden im Journal „Radiology“ veröffentlicht.
In Deutschland erleiden täglich rund 550 Menschen einen Schlaganfall. Bei der häufigsten Form des Schlaganfalls, dem ischämischen Hirninfarkt, blockiert ein Blutpfropf ein arterielles Gefäß, so dass das Gehirn nicht ausreichend mit Blut versorgt wird. Daher ist bei einem Schlaganfall-Verdacht schnelles Handeln wichtig, um größere Folgeschäden zu verhindern. Das bisher schnellste Verfahren, um einen akuten Schlaganfall zu diagnostizieren, ist die Computertomographie (CT). Doch insbesondere bei Patienten mit leichten Schlaganfällen und nur schwachen neurologischen Symptomen ist die CT nicht präzise genug und kann ein falsch negatives Ergebnis anzeigen.
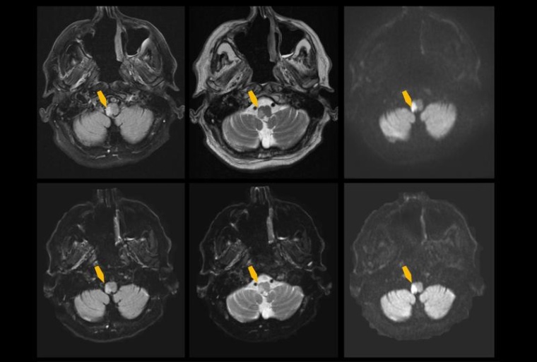
Mit der Magnetresonanz-Tomographie (MRT) lassen sich dagegen auch kleinste ischämische Infarkte erkennen. Allerdings benötigt die MRT relativ lange Aufnahmezeiten, was ihre Anwendung in Notfallsituationen einschränkt. Das Ziel der Mainzer Forschenden ist es, mithilfe von Künstlicher Intelligenz (KI) die Untersuchungszeit beim MRT des Gehirns zu reduzieren.
MRT-Bilder parallel zur Aufnahme verarbeiten
„Die Deep Learning-Technik ist eine noch relativ neue Technik in der medizinischen Versorgung. Die KI ermöglicht, dass MRT-Bilder parallel zur Aufnahme verarbeitet werden können und ist so trainiert, dass sie die aufgenommenen Bilder künstlich verbessern kann. Dadurch konnten wir die MRT-Bilder ultraschnell und in hoher Qualität rekonstruieren und die Zeit zwischen Untersuchungsbeginn und Befund um rund 78 % reduzieren“, erläutert Dr. Sebastian Altmann, Erstautor der Publikation und Funktionsoberarzt der Klinik und Poliklinik für Neuroradiologie der Universitätsmedizin Mainz.
In seiner prospektiven Studie hat das Forschungsteam 211 Patienten mit Verdacht auf einen akuten ischämischen Schlaganfall mit der konventionellen MRT sowie der neuen KI-beschleunigten MRT untersucht. Insgesamt benötigte die konventionelle MRT eine Untersuchungszeit von rund 14 Minuten. Diese konnte durch den Einsatz von Deep Learning um das Vierfache, auf etwa drei Minuten reduziert werden.
Die Deep Learning-gestützte MRT lieferte verglichen mit der konventionellen Methode insgesamt eine bessere Bildqualität. Beide Methoden zeigten eine gute bis ausgezeichnete Zuverlässigkeit, um einen akuten ischämischen Infarkt zu diagnostizieren. Wobei eine exzellente diagnostische Sicherheit in 96 % der Fälle durch die neuartige Methode erzielt werden konnte (konventionellen Methode 92 %).
Bei 79 Teilnehmenden konnte ein akuter ischämischer Schlaganfall festgestellt werden. Bei den restlichen Teilnehmenden fanden die Wissenschaftler andere medizinische Auffälligkeiten wie chronischer Infarkt (19,4 %), Morbus Biswanger (10,4 %) und Mikroblutungen (7,6 %).
„Der unterstützende Einsatz innovativer KI beim MRT hat das Potential, die Notfalldiagnostik, insbesondere bei leicht betroffenen Patienten mit Schlaganfall-Verdacht, zu revolutionieren. Es wird nicht nur der Diagnoseprozess beschleunigt, sondern verglichen mit der CT gleichzeitig auch eine Strahlenexposition vermieden. Im nächsten Schritt wollen wir die KI-gestützte MRT sukzessiv in die klinische Routine implementieren“, so Prof. Dr. Ahmed Othman, Geschäftsführender Oberarzt der Klinik und Poliklinik für Neuroradiologie der Universitätsmedizin Mainz.
Anbieter















