High-End-MRTs für Forschung und klinische Routine

„Beide Scanner werden aufgrund ihrer hohen Feldstärken und starken Gradientenleistung optimal sein, um feinste Strukturen im Körper klarer zu erkennen. Durch die erstmalige Einführung KI-basierter Algorithmen für diese High-End-Scanner reduzieren wir die Scanzeit im MRT um bis zu 50% und verbessern gleichzeitig die Bildqualität“, sagt Arthur Kaindl, Leiter Magnetresonanztomographie bei Siemens Healthineers.
Magnetom Cima.X
Der 3T Magnetom Cima.X wird den stärksten Gradienten des Unternehmens mit einer Amplitude5 von 200 mT/m und einer Slew Rate von 200 T/m/s nutzen. Das ist 2,5-mal mehr als das derzeit stärkste MRT von Siemens Healthineers. Eine solche Gradientenstärke kann helfen, neurodegenerative Erkrankungen wie Multiple Sklerose auch zwischen Krankheitsschüben deutlich besser zu verstehen. Sogenannte Mikrostrukturen lassen sich mit Hilfe der starken Gradienten deutlicher sichtbar machen und könnten eine wichtige Rolle beim Verständnis dieser Erkrankungen spielen. Mikrostrukturen lassen sich mit der klassischen MR-Bildgebung kaum sichtbar machen. So könnte die Behandlung früher eingeleitet werden, was die Aussichten für Patientinnen und Patienten verbessert.
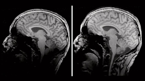
Magnetom Terra.X
Magnetom Terra.X mit einer Feldstärke von 7T stellt den neuesten Stand der kommerziellen MR-Bildgebung dar. Das System wird der Nachfolger des 2017 eingeführten Magnetom Terra, dem ersten klinischen 7T-System, sein. Das höhere Signal bei 7T ermöglicht eine sehr hochauflösende Bildgebung, z.B. im Kopfbereich. Dies ist besonders wichtig bei Erkrankungen, bei denen der Nachweis kleinster Läsionen für die weitere Behandlung entscheidend sein kann. Auch im Knie kann die Sichtbarkeit kleinster Läsionen die Entscheidung für oder gegen eine Operation bedeuten. Die neue Hard- und Software von Magnetom Terra.X, die Siemens Healthineers „Ultra IQ Technologie“ nennt, wird die Möglichkeiten eines 7T Systems deutlich steigern: MR-Bildgebung bei diesen extrem hohen Feldstärken kann zu einer Verdunkelung des Bildeindrucks beispielsweise am unteren Teil des Kopfes führen. Mit Magnetom Terra.X sind potenziell relevante Befunde auch an den Bildrändern deutlich sichtbar. Während die klassische MRT-Bildgebung vor allem in Körperregionen mit viel Wasser im Gewebe funktioniert, lassen sich mit hohen Feldstärken auch andere Substanzen im Körper, wie zum Beispiel Natrium, besser darstellen. Diese Form der Bildgebung geht über die reine Darstellung der Anatomie hinaus und ermöglicht eine Visualisierung von Vorgängen im Körper wie dem Stoffwechsel.
Speziell für die Forschung werden beide neuen Scanner umfangreiche Innovationen bieten, wie zum Beispiel die neue Open Recon-Plattform7: „Open Recon ermöglicht es uns, die von uns entwickelten Rekonstruktionsalgorithmen direkt auf dem Scanner laufen zu lassen. Damit können wir unsere Forschungsentwicklungen zum ersten Mal einfacher, effizienter und effektiver in die klinische Routine übertragen“, sagt Prof. Matthias Stuber von der Universität Lausanne. Darüber hinaus bieten beide Scanner Assistenzsysteme, die die Scanvorbereitung und Durchführung unterstützen. Selbst diese komplexen Systeme werden für jeden Anwender einfach zu bedienen sein. Der Schulungsaufwand wird minimal sein und die Scanner können nahtlos in die Flotte integriert werden.














