Roche führt vollautomatische Gram-Färbung für die Spezialfärbeplattform VENTANA BenchMark Special Stains ein

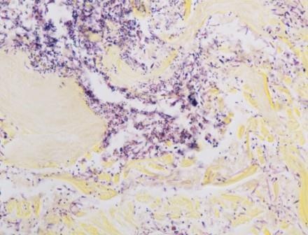
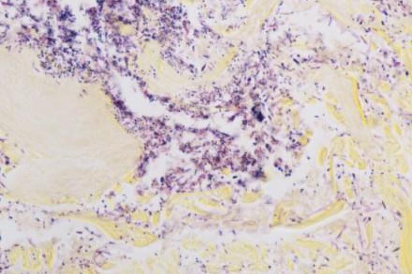
Das neue vollautomatische Gram-Färbekit für das Färbesystem VENTANA BenchMark Special Stains unterstützt Pathologen, in fixierten Gewebeproben Gram-positive und Gram-negative Bakterien zu unterscheiden. Der klinische Nutzen dieser Klassifikation mittels der Gram-Färbung liegt darin, einen ersten Hinweis auf den Infektionstyp eines Patienten zu erhalten.
Die Gram-Färbung gehört zu einer Reihe histochemischer Spezialfärbungen, die in vielen Laboren auch heute noch manuell durchgeführt werden. Mit der Automatisierung der Färbung bietet Roche Diagnostics den Anwendern eine effiziente und sichere Methode, diese technisch herausfordernde Untersuchung durchzuführen. Dies ermöglicht eine höhere Produktivität, größere Reproduzierbarkeit und bessere Qualität der Testung.
"Für exakte Diagnosen und richtige Behandlungsentscheidungen ist bei Krebspatienten die Gewebediagnostik von zentraler Bedeutung. Roche Diagnostics setzt sich dafür ein, kontinuierlich innovative Diagnostik für pathologische Labore, Pathologen und deren Patienten zu liefern. Weiterhin wollen wir unsere Kunden dabei unterstützen, durch Automatisierung gängiger, jedoch arbeitsintensiver Tests wie der Gram-Färbung effizientere Ergebnisse zu erzielen", erklärt Michael Götzl, Leiter Roche Tissue Diagnostics im Vertrieb Deutschland.
Das Gram-Färbekit ergänzt das bestehende Portfolio an Spezialfärbungen von Roche Diagnostics für das sehr erfolgreiche vollautomatische Färbesystem VENTANA BenchMark Special Stains, das Mitte 2012 auf den Markt kam. Das Gram-Färbekit bietet zwei Möglichkeiten der Gegenfärbung und zeichnet sich durch eine hohe Flexibilität bei der Einstellung der Färbeprotokolle aus, um den unterschiedlichen Präferenzen von Pathologen bestmöglich Rechnung zu tragen.
"Mit dem neuen Gram-Färbekit profitieren unsere Kunden von einer einheitlichen und klaren Darstellung, wie sie bei der manuellen Gram-Färbung selten erreicht wird. Auch dieses neue Produkt spiegelt unser stetiges Engagement für Qualität und das Vorantreiben einer standardisierten Diagnostik mittels erstklassiger Automatisierung wider", betont Michael Götzl.













