Intraoperative 3D-Bildgebung erhöht chirurgische Sicherheit

Der Ziehm Vision RFD 3D bietet bestmögliche intraoperative Kontrolle bei Eingriffen in der Orthopädie, Traumatologie und Wirbelsäulenchirurgie.
Die mobile intraoperative 3D-Bildgebung ist in der Orthopädie auf dem Vormarsch. Insbesondere der Trend zu minimalinvasiven Eingriffen hat dazu geführt, dass immer mehr Anwender auf einen mobilen C-Bogen als flexible, platz- und kostensparende Alternative zu festinstallierten Systemen oder mobilen CTs setzen.
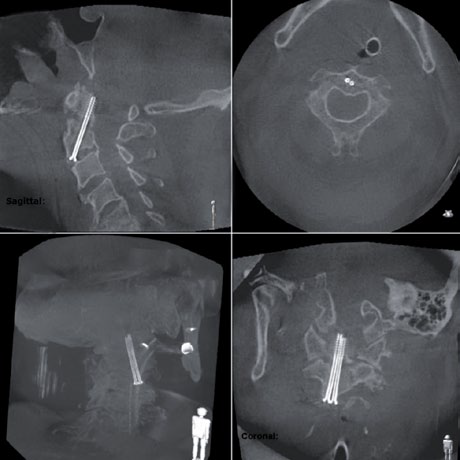
Gerade in empfindlichen Bereichen wie der zervikalen Wirbelsäule, oder auch bei komplexen orthopädischen und unfallchirurgischen Umstellungsosteotomien ist eine zuverlässige intraoperative Bildgebung essentiell für die sichere Platzierung der Implantate und die unmittelbare Ergebniskontrolle. Leistungsstarke mobile C-Bögen wie der Ziehm Vision RFD 3D ermöglichen eine intraoperative Kontrolle mit CT-ähnlicher Bildqualität innerhalb weniger Minuten.
Geringeres Risiko von Folgeeingriffen
Bei minimalinvasiven orthopädischen und traumatologischen Eingriffen bietet die mobile intraoperative Bildgebung zusätzliche Sicherheit für Patient und Chirurg. Durch die intraoperative 3D-Kontrolle können Fehllagen noch im OP-Saal erkannt und sofort korrigiert werden. So reduzieren sich postoperative CT-Kontrollen und Revisionen. Dadurch verringert sich das Risiko für den Patienten und gleichzeitig ergeben sich auch Kosteneinsparungen für das Gesundheitssystem.













