
Tag gegen den Schlaganfall
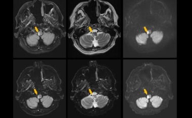
Eine neue MRT-Technik in der Universitätsmedizin Mainz erkennt Schlaganfälle in kürzester Zeit.

Eine neue MRT-Technik in der Universitätsmedizin Mainz erkennt Schlaganfälle in kürzester Zeit.

Auf dem diesjährigen European Congress of Radiology (ECR) präsentierte Canon Medical Systems ein breites Produktportfolio innovativer Bildgebungssysteme.

Seit Mitte 2020 nutzt die Klinik für Radiologie der Charité – Universitätsmedizin Berlin einen Volumen-CT Aquilion PRISM mit der neuen KI-Technologie „AiCE“ (Advanced intelligent Clear Image Quality Engine).