
Mit innovativen Oberflächen schnell zu sicheren Knochenimplantaten
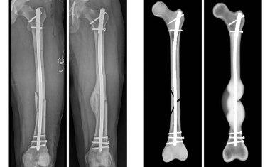
Komplikationen durch Infektionen sind nach dem Einsetzen von Implantaten keine Seltenheit. Das Risiko dafür steigt bei stark verschmutzten Wunden, die besonders in Kriegsgebieten wie der Ukraine häufig auftreten – aber gerade dort müssen viele Knochenverletzungen versorgt werden.

















