
KI in der Mammographie – Chancen und Herausforderungen
Die Mammographie ist seit vielen Jahren eine der wichtigsten Methoden zur Früherkennung von Brustkrebs und hat maßgeblich dazu beigetragen, die Überlebensraten bei Patientinnen zu verbessern.

Die Mammographie ist seit vielen Jahren eine der wichtigsten Methoden zur Früherkennung von Brustkrebs und hat maßgeblich dazu beigetragen, die Überlebensraten bei Patientinnen zu verbessern.

Als eine der ersten Praxen in Deutschland setzt die Radiologie Brüderweg das neue Mammographie-Gerät MAMMOMAT B.brilliant in der Brust-Diagnostik ein.

Gemeinsam mit dem MVZ Dr. Neumaier & Kollegen bietet das Mammographie-Screening Oberpfalz seit Juli Untersuchungen für Frauen zu Brustkrebsvorsorge an.

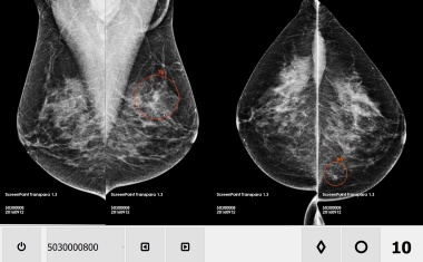
Eine neue Software unterstützt Mediziner dabei Brustkrebs bereits im frühen Stadium zu entdecken. Die KI-basierte Mammographie steht allen Patientinnen zur Verfügung und erhöht ihre Überlebenschance.

Trotz vieler innovative Behandlungsmöglichkeiten, ist die aktuelle Brustkrebs-Nachsorge meist auf klinische Untersuchungen und Mammographie begrenzt.










