
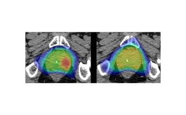
Hypostat-III-Studie startet: Verkürzte CyberKnife-Behandlung bei Prostatakrebs
Die Hypostat-Studienreihe des UKSH erforscht eine besonders schonende, hochpräzise Bestrahlungsmethode für Prostatakrebs: die CyberKnife-Radiochirurgie.

Die Hypostat-Studienreihe des UKSH erforscht eine besonders schonende, hochpräzise Bestrahlungsmethode für Prostatakrebs: die CyberKnife-Radiochirurgie.

Die rektale Tastuntersuchung ist nicht zur Früherkennung von Prostatakrebs bei Männern im Alter von 45 Jahren geeignet.

Mit der sogenannten multiparametrischen Magnetresonanz-Tomographie (mpMRT) setzen die GFO Kliniken Troisdorf jetzt eine hochmoderne Diagnosemethode bei Verdacht auf Prostatakrebs ein. Es kann nicht nur Tumoren, deren Größe, Lage und Ausdehnung im Gewebe erkennen, sondern Prostatakrebs auch mit hoher Wahrscheinlichkeit ausschließen.

Privatdozent Dr. med. Sami-Ramzi Leyh-Bannurah (42) wird Leiter der Departments Prostatakarzinom sowie Wissenschaft und Datenmanagement der Paracelsus Klinik Golzheim Düsseldorf.

Für Patienten mit Prostatakrebs, der bereits Metastasen gebildet hat, ist seit diesem Jahr eine neue wirksame Kombinationstherapie zugelassen.

Anwendungsnahe Krebsforschung gefördert: Studie des Universitätsklinikums Freiburg zu präziser Strahlentherapie bei Prostatakrebs erhält 2,8 Millionen Euro vom Bundesministerium für Bildung und Forschung (BMBF).

Wenn ein Tumor Metastasen bildet, sinkt die Überlebenschance von Krebspatienten beträchtlich. Das gilt auch für Prostatatumore. Hier gibt es allerdings vielversprechende Therapieansätze für Patienten im fortgeschrittenen Krankheitsstadium.
