Die Therapie von Multipler Sklerose verbessern
Erstmals liegen klare Entscheidungskriterien für die Therapieanpassung bei Multipler Sklerose vor.


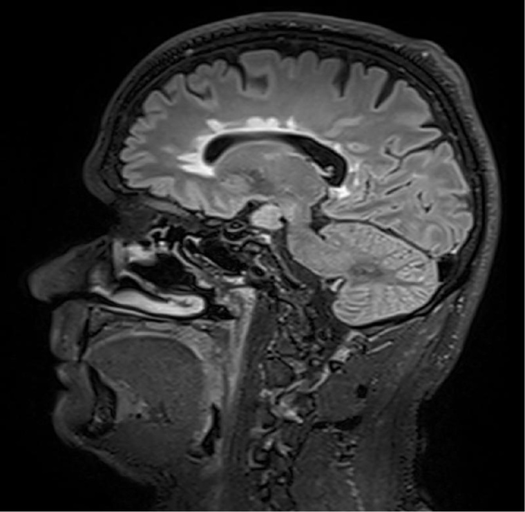
Die Ergebnisse einer neuen Österreichisch-Schweizer Multicenterstudie zu Multipler Sklerose könnten die Therapie dieser chronisch entzündlichen Erkrankung entscheidend verbessern. Forschende der Medizinischen Universitäten Innsbruck und Wien sowie des Inselspitals, Universitätsspital Bern belegen, dass zwei oder mehr in der Magnetresonanztomographie (MRT) sichtbare Läsionen im Gehirn innerhalb eines Jahres für eine Therapieintensivierung sprechen. Damit liegen erstmals eindeutige und evidenzbasierte Kriterien für eine Therapieanpassung vor.
Für die neurologische Erkrankung Multiple Sklerose (MS) stehen seit einigen Jahren eine Reihe von Therapiemöglichkeiten zur Verfügung, die das Ausmaß der Entzündungsreaktion und damit einhergehend die Beschwerden der Patienten auch bei schweren Verläufen günstig beeinflussen können. So können die Entwicklung Krankheitsschübe und eine permanente Behinderung eingedämmt werden.
Abseits klinischer Symptome, die von Einschränkungen des Sehvermögens bis hin zu Lähmungserscheinungen ein breites Spektrum umfassen, kann die Krankheitsaktivität bei MS auch bildgebend dargestellt werden. „Der Nachweis entzündlicher Läsionen im Gehirn mittels MRT erlaubt auch eine Einschätzung geringerer Krankheitsaktivität, denn vermeintlich stabile Patienten können trotz Therapie weiterhin neue, klinisch stumme, entzündliche Veränderungen entwickeln“, weiß Neuroimmunologe Harald Hegen, der an der Innsbrucker Universitätsklinik für Neurologie bereits seit vielen Jahren zu MS forscht.
Ob die MS-Therapie schon auf Basis der reinen MRT-Diagnostik angepasst werden soll bzw. wie viele Läsionen im MRT ausschlaggebend sind, konnte nun erstmals im Rahmen einer retrospektiven Studie unter der gemeinsamen Führung der neurologischen Universitätskliniken Innsbruck, Wien und Bern geklärt werden. Neurology berichtet über die weitreichenden Erkenntnisse.
In die Studienkohorte wurden 131 MS-Patienten aus MS-Zentren in Österreich und der Schweiz eingeschlossen, die unter einer gering- bis moderat-effektiven Immuntherapie zwölf Monate lang klinisch stabil waren und dann einer MRT unterzogen wurden. „Wir konnten zeigen, dass Patienten mit schubförmiger MS, die unter Immuntherapie zwei oder mehr neue entzündliche MRT-Läsionen innerhalb eines Jahres entwickeln, auch bei klinischer Stabilität, also ohne Symptome, von einem Wechsel auf eine hoch-effektive Immuntherapie profitieren“, beschreibt Erstautor Gabriel Bsteh von der Medizinischen Universität Wien die zentrale Erkenntnis. Damit liefert die Studie eine für den klinischen Alltag wichtige Erkenntnis, die für die individuelle Therapieanpassung genutzt werden sollte.
Bildgebende Kontrolle
„Nachdem Läsionen oft schon vor dem Auftreten klinischer Symptome in der MRT sichtbar sind, ermöglicht eine bildgebende Kontrolle bei Patienten mit einer gering- bis moderat-effektiven Therapie ein frühes Eingreifen in den individuellen Krankheitsverlauf“, betont Studienleiter Harald Hegen. In der Studienkohorte waren rund 40 Prozent der Patienten klinisch stabil, zeigten allerdings in der MRT schon eine oder mehrere Läsionen. Bislang war in der klinischen Praxis eine Therapieverstärkung nur nach Auftreten klinisch manifester Symptome angezeigt.
Die Multicenterstudie, deren Ergebnisse in künftige Empfehlungen von Therapie-Leitlinien einfließen sollen, ist ein Leuchtturmprojekt einer über die letzten Jahre stetig weiterentwickelten Kooperation von MS-Zentren in Österreich und der Schweiz. „Wir verfügen zusammen über eine umfassende Datenbank von mehr als 8.000 MS-Patienten. Solche multizentrischen Kooperationen legen die notwendige Basis an Fallzahl und Datenqualität für eine Vielzahl weiterer Projekte zur Verbesserung der Versorgung von MS-Patienten“, schließt Neurologe Gabriel Bsteh.
Anbieter
Medizinische Universität InnsbruckInnrain 52
6020 Innsbruck
Österreich
Meist gelesen

Neue Kardiologie-Leitlinien
Die Klinik-Expertise aus Leipzig und Berlin prägt die Patientenversorgung in Europa.

Infrafon gewinnt Athene Startup Award UP25@it-sa
Beim Live-Pitch um den Athene Startup Award UP25@it-sa setzte sich Infrafon aus Freiburg auf der it-sa Expo&Congress durch und sicherte sich den 1. Platz und damit ein Preisgeld von 7.500 Euro.

Verleihung der Forschungspreise von Pro Retina Deutschland
Für ihre grundlagenwissenschaftlichen Forschungen zur Genetik bei erblich bedingten Netzhauterkrankungen und zur Altersabhängigen Makula-Degeneration haben Pro Retina Deutschland e. V., die Pro Retina-Stiftung zur Verhütung von Blindheit und Retina Suisse Karolina Kaminska aus Basel und Lucas Stürzbecher aus Berlin ausgezeichnet.

Neuer Podcast „PflegeTacheles!“
Der neue Podcast der Stiftung Humor hilft heilen und dem Versicherer im Raum der Kirchen startet am Deutschen Pflegetag 2025 mit Best Practices zu Herausforderungen im Pflegesektor.

ATOS Klinik Wiesbaden setzt innovative Stammzellentherapie zur Behandlung von Arthrose ein
Die ATOS Klinik Wiesbaden bietet mit der Stammzellentherapie eine hochmoderne und fortschrittliche regenerative Behandlung an, die eine vielversprechende und besonders wirkungsvolle Alternative zu herkömmlichen Methoden darstellt.










