Siemens Healthineers und ScreenPoint Medical vereinbaren Entwicklung KI-basierter Applikationen für die Brustbildgebung

Siemens Healthineers und ScreenPoint Medical haben eine enge Zusammenarbeit vereinbart, um gemeinsam KI-basierte Applikationen für die Brustbildgebung zu entwickeln.
Die Kooperation beinhaltet die Akquisition einer strategischen Minderheitsbeteiligung an ScreenPoint Medical durch Siemens Healthineers.
Die Partnerschaft hat zum Ziel, die Expertise von Siemens Healthineers in der Brustbildgebung und die Kompetenz von ScreenPoint Medical bei der Entscheidungsunterstützung für die Mammographie zu bündeln und für die Entwicklung innovativer klinischer Applikationen für Brustkrebs-Screening und -Diagnostik einzusetzen. „Zusammen mit Siemens Healthineers können wir unsere KI-Expertise in den gesamten Screening- und Diagnostikpfad einbringen – von der Risikoabschätzung bis zu Bildakquisition und Diagnose“, erklärt Professor Nico Karssemeijer, CEO ScreenPoint Medical.
„Das Ziel unserer Kooperation mit ScreenPoint Medical ist es, die Präzisionsmedizin durch automatisierte klinische Entscheidungsunterstützung auszubauen, die es einfacher und schneller macht, zwischen gesundem und Tumorgewebe zu entscheiden, um so die diagnostische Genauigkeit zu verbessern“, ergänzt Dr. Peter Schardt, Leiter Röntgenprodukte bei Siemens Healthineers. „Mit starken Partnern wie ScreenPoint zusammenzuarbeiten wird uns dabei helfen, personalisierte Versorgungspfade in der Mammographie mit neuen Applikationen auf Basis von Deep Learning und künstlicher Intelligenz zu unterstützen.“
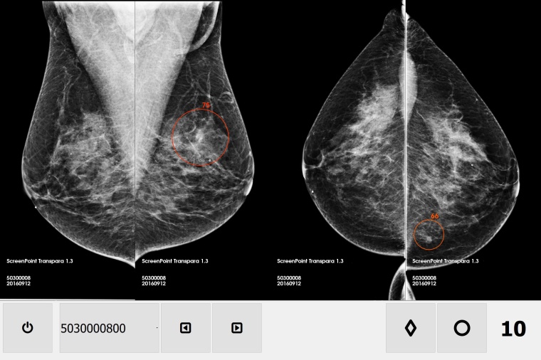
Beide Unternehmen bringen ihre jeweiligen Stärken in die strategische Partnerschaft ein. Transpara, die hochinnovative Mammographie-Befundungssoftware von ScreenPoint Medical, ist für eine Reihe von Mammographie-Systemen erhältlich. Sie ermöglicht klinische Entscheidungsunterstützung und computergestützte Detektion für höhere Befundungsgenauigkeit. Dies hilft Radiologen nachweislich, Brustkrebs mit Hilfe der Mammographie besser zu erkennen und die Abweichungen zwischen verschiedenen Nutzern zu reduzieren – Aspekte, die ganz wesentlich sind für den Ausbau der Präzisionsmedizin. Transpara ist für die klinische Nutzung in CE-Ländern zusammen mit dem digitalen Mammographie- und Befundungs-Portfolio von Siemens Healthineers zugelassen. In den kommenden Monaten strebt ScreenPoint die behördliche Zulassung in weiteren klinischen Feldern und weiteren Ländern an.
Siemens Healthineers kann auf eine lange Innovationsgeschichte in der Brustbildgebung zurückblicken und bietet ein umfassendes System-Portfolio von Ultraschall über Mammographie bis zur MR-Bildgebung und die zugehörigen Befundungslösungen an. Das neueste Mammographie-System Mammomat Revelation verfügt über die größte Tiefenauflösung im Markt und einen einzigartigen 50-Grad-Winkel für die Tomosynthese. Automatisierte und präzise Brustdichte-Messungen erlauben eine unmittelbare Risikoabschätzung. Für die Befundung bietet Syngo.BreastCare eine fortschrittliche Visualisierung von 2D- und 3D-Mammographie mit automatisierten Arbeitsabläufen und KI-basierter Tomosynthese-Befundung.














