Winzige Nerven, große Wirkung: Depressionen und Schmerzen über das Ohr bekämpfen?
Depressionen, Schlafstörungen, Schmerzen – Millionen Menschen leiden unter langwierigen medizinischen Problemen. Forschende der Hochschule Fresenius und der Universität Düsseldorf arbeiten an einer ungewöhnlichen Lösung.


Ausgerechnet das Ohr wird dabei wichtig. Die Hintergründe erklärt Prof. Dr. Elmar Peuker.
Mehr als 17 Prozent der Deutschen leiden laut Erhebungen der Deutschen Schmerzgesellschaft an chronischen Schmerzen, etwa 12,5 Prozent an depressiven Störungen (AOK). Für viele beginnt damit ein zermürbender Weg zwischen Diagnosen und Therapieversuchen. Oft ohne echten Durchbruch: Symptome kehren zurück, Nebenwirkungen bleiben. Ein Forschungsteam um Prof. Dr. Elmar Peuker von der Hochschule Fresenius und Prof. Dr. Timm Filler von der Universität Düsseldorf setzt auf einen ungewöhnlichen Ansatz. Genauer: auf das Ohr.
So wird das Ohr zum Therapieansatz
Im Fokus der Forschenden steht der Vagusnerv. Er ist einer der wichtigsten Kommunikationswege zwischen Gehirn und Organen. Neben der Atmung und dem Herzschlag beeinflusst er die Schmerz- und Stressregulation des Körpers.
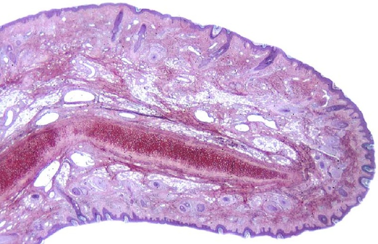
Ein feiner Ast dieses mächtigen Nervs verläuft durch die Ohrmuschel. Genau dort setzen die Forschenden momentan an und analysieren winzige Nervenfasern im Ohrgewebe.
„Wir wollen verstehen, welche Nervenfasern im Ohr wirklich zum Vagusnerv gehören, wie und wo sie verteilt sind und wie wir sie gezielt stimulieren können”, sagt Prof. Dr. Elmar Peuker. Dazu nutzt sein Team spezielle immunhistochemische Färbetechniken. Mit ihnen lassen sich einzelne Nerven im Ohr detailliert darstellen und sich entwickelnde Therapietechniken dadurch etablieren und optimieren.
Altes Wissen, neu gedacht
Wie sonderbar dieser Ansatz klingt – in der Medizingeschichte ist er tief verwurzelt. In der Ohrakupunktur werden durch Reizungen vagusinnervierter Areale an der Ohrmuschel seit langem teils sehr gute Effekte in der Schmerztherapie erzielt. Ebenso nutzt die Osteopathie diesen Zugang zur Behandlung.
Neu ist der präzise Blick der Forschenden auf die Nervenfasern und wie ein untypisches Hilfsmittel die Neuroanatomie des Vagusnervs stimulieren könnte. Es geht um eine Art In-Ear-Kopfhörer.
Kopfhörer, die heilen sollen
Bereits 2001 legte das heutige Forschungsteam eine vielbeachtete Studie zur Ohrnervenstruktur vor. Sie zählt mittlerweile zu den meistzitierten anatomischen Arbeiten der vergangenen 50 Jahre. Nun setzen die Forschenden erneut an und wollen sich über die Grundlagenforschung auch an der Entwicklung medizinischer Hilfsmittel beteiligen.
Für Prof. Dr. Elmar Peuker ist das keine Science Fiction, sondern eine in Ansätzen bereits realistische Behandlungsmöglichkeit. Er sagt: „Wir wollen die wissenschaftliche Basis für Therapiegeräte verbessern – und dabei gezielt den Vagusnerv ansprechen. Mit kopfhörerähnlichen In-Ear-Geräten, die möglichst gezielte Stimulierungen relevanter Nervenstrukturen im Ohr ermöglichen.”
Anbieter
Hochschule FreseniusLimburger Straße 2
65510 Idstein
Deutschland
Meist gelesen

Prof. Dr. Julia Heinzelbecker übernimmt die Direktion der Klinik für Urologie am Universitätsklinikum Marburg
Das Universitätsklinikum Marburg begrüßt Prof. Dr. Julia Heinzelbecker als neue Direktorin der Klinik für Urologie.

Helga-Reifert-Preis für Krebsforschung
Dr. Johannes Falter und Dr. Benedikt Wagner vom Universitätsklinikum Regensburg erhielten für ihre Krebsforschung den Helga-Reifert-Preis.

Prof. Sven Meuth übernimmt die Klinik für Neurologie am UKM
Univ.-Prof. Sven Meuth hat zum 1. Februar die Leitung einer der größten Kliniken des UKM (Universitätsklinikum Münster) übernommen.

Neuer operativer Geschäftsführer und neue Pflegedirektion am Klinikum Frankfurt (Oder)
Das Klinikum Frankfurt (Oder) verstärkt seine Führungsspitze. Christopher Arndt (37) wird zum 1. März 2026 zum operativen Geschäftsführer des Klinikums Frankfurt (Oder) bestellt.

Dr. Rolf Glazinski wird Chefarzt der Neurologie an der Wicker Klinik
Zum 1. Januar 2026 übernimmt Dr. Rolf Glazinski (61) die chefärztliche Leitung der Neurologie an der Wicker Klinik.









