
Mögliche Schwachstelle populärer KI-Modelle entdeckt
Wo liegen die Risiken von großen Sprach- oder Basismodellen bei der Auswertung medizinischer Bilddaten? Die potentielle Schwachstelle sind Textinformationen!

Wo liegen die Risiken von großen Sprach- oder Basismodellen bei der Auswertung medizinischer Bilddaten? Die potentielle Schwachstelle sind Textinformationen!

Helios verabschiedet sich von der CD: Künftig werden radiologische Bilddaten digital bereitgestellt – schnell, sicher und standortunabhängig.

Telepaxx Medical Data erhält das C5-Testat für die Software-Lösung TMD Cloud.

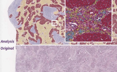
Aufgrund der großen Mengen diagnostischer Bilddaten in Form von histologischen Schnitten weckt KI insbesondere in der Pathologie hohe Erwartungen.

Vor gut drei Jahren hat das Klinikum St. Elisabeth die CD-ROMs durch einen webbasierten Bilddatenversand ersetzt und mit der Lösung bis heute noch weitere Use Cases realisiert. Mit dem passenden Viewer gewinnen zudem die Ärzte im Hause.



