
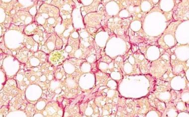
Menschen mit Diabetes oder Fettlebererkrankung können weniger effektiv Energie aus Ketonkörpern gewinnen
Die Leber spielt eine zentrale Rolle für die Energiespeicherung und -versorgung des Körpers. Bei Typ-2-Diabetes und MASLD (umgangssprachlich Fettleber) können die Mitochondrien nicht mehr effizient zwischen verschiedenen Energiequellen wechseln.

















