
Jian Cui erhält renommierten ERC Consolidator Grant
Dr. Jian Cui, Principal Investigator am Helmholtz Pioneer Campus, wurde für sein Projekt PhotonSignaling mit einem ERC Consolidator Grant ausgezeichnet.

Dr. Jian Cui, Principal Investigator am Helmholtz Pioneer Campus, wurde für sein Projekt PhotonSignaling mit einem ERC Consolidator Grant ausgezeichnet.

Wissenschaftler am Max-Planck-Institut für biologische Kybernetik und der Universität Tübingen konnten mithilfe bildgebender Verfahren bei Versuchspersonen zeigen, dass ihre Gehirnaktivität beim Farbensehen ähnlich ist.

Interpretation und Vergleich der neuronalen Aktivität durch geometrisches Deep Learning

Ein Team aus Genf und Dresden zeigt die Entstehung und Spezialisierung neuronaler Netzwerke.

Nach einem Schlaganfall lassen sich bleibende Schäden oft reduzieren, wenn schnell gehandelt wird. Dabei ist es entscheidend, den Zeitpunkt des Schlaganfalls zu kennen.

Wissenschaftler der Klinik und Poliklinik für Neurologie des Universitätsklinikums Regensburg haben herausgefunden, dass eine zuckerarme Ernährung auch unabhängig vom Blutzuckerspiegel positive Auswirkungen auf die langfristige Leistungsfähigkeit des Gehirns haben könnte.

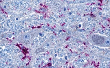
Eine neue Studie identifiziert die anhaltende Aktivierung des angeborenen Immunsystems im Gehirn von COVID-19-Genesenen.

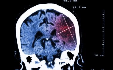
Der Einfluss von COVID-19-Infektion auf die Mikrostruktur des Gehirns konnte jetzt mittels Bildgebung nachgewiesen werden. Die Veränderungen in zerebralen Netzwerken korrelieren mit Schwere der Infektion und Symptomen.

Bei Untersuchungen, wie die Informationen verschiedener Sinne im Gehirn kombiniert werden, entdeckte ein Forschungsteam aus Jena, London und München eine Region im sensorischen Kortex, die sowohl von visuellen als auch von Tastreizen aktiviert wird.

In einem gemeinsamen Projekt der TU Wien und der MedUni Wien wurde das weltweit erste 3D-gedruckte „Gehirn-Phantom“ entwickelt, das dem Aufbau von Gehirnfasern nachempfunden ist und mit einer speziellen Variante von Magnetresonanztomografie (dMRT) bildlich dargestellt werden kann.

Forschende untersuchten, wie Stresshormone die frühe Entwicklung von Gehirnzellen in der Großhirnrinde von Föten beeinflussen.

Die neurologischen Symptome sind offenbar nicht die Folge einer SARS-CoV-2-Infektion des Gehirns.

Prof. Jay Gopalakrishnan ist neuer Professor für die Zellbiologie erblicher Erkrankungen am Universitätsklinikum Jena. Der Biochemiker möchte in Jena ein Netzwerk aufbauen, das Organoide zur Erforschung der Hirnentwicklung nutzt.

Forscherinnen und Forscher des Uniklinikums Würzburg zeigen in Nature Communications, wie Zellen vom Gehirn in den Darm wandern und so die Ausbreitung neurologischer Erkrankungen wie Parkinson vermitteln.

Eine in den vergangenen Jahren an der ETH Zürich entwickelte Technologie zur Steuerung von Mikrovehikeln mit Ultraschall funktioniert auch im Gehirn, wie Forschende nun zeigen konnten.

In einer aktuellen im Journal Nature Neuroscience publizierten Studie weist Dr. Maximilian Wessel vom Uniklinikum Würzburg (UKW) zusammen mit einem internationalen Forschungskonsortium unter Führung der École Polytechnique Fédérale de Lausanne (EPFL) erstmalig die erfolgreiche nicht-invasive elektrische temporale Interferenzstimulation (tTIS) einer tiefen Hirnregion nach.

Das Institut für Diagnostische und Interventionelle Radiologie an der Uniklinik Köln hat am Standort in der Neurologie nach einer mehrmonatigen Umbauphase ein neues MRT in Betrieb genommen und verfügt damit nun über insgesamt sieben Magnetresonanztomographen.

Eine Studie liefert neue Erkenntnisse über altersbedingte Hirnveränderungen.

Mit Lioness können Neurowissenschaftler*innen lebendes Hirngewebe untersuchen und hochauflösende 3D-Bilder erzeugen, ohne die lebende Probe zu beschädigen.

Tübinger Forschende können Hirnsignale über Inhalt und Form eines Sprachlautes auslesen – und zwar mehrere Sekunden, bevor er geäußert wird

Um schwere Komplikationen nach Operationen am Gehirn zukünftig zu reduzieren, startet die Universitätsmedizin Halle eine bundesweite klinische Studie.

Dr. Sarajo Mohanta vom Klinikum der Universität München (LMU) erhält renommierten Forschungspreis der Deutschen Stiftung für Herzforschung in Höhe von 15.000 Euro.

Die Else Kröner-Fresenius-Stiftung verlängert Forschungsförderung zur Darm-Gehirn-Achse innerhalb des Clinician Scientist Programms EKFK an der Medizinischen Fakultät der Universität Kiel.

Eines aus Millionen Neuronen: eine neue funktionelle Mikroskopie-Methode kann zur exakten Hirnkartierung eingesetzt werden.

Mit Hirnimplantaten Gedächtnis und Konzentration verbessern oder Smartphones und Computer steuern – solche Visionen ambitionierter Neurotechnologie-Unternehmen klingen nach Zukunftsmusik.

Hunderte Wissenschaftlerinnen und Wissenschaftler weltweit untersuchen die Eigenschaften verschiedener Neuronentypen im motorischen Kortex der Gehirne von Mäusen, Affen und Menschen. Dabei nutzen sie neue experimentelle Techniken und Methoden der Datenanalyse.

Ein Forscherteam am Institut für Molekulare Biotechnologie der Österreichischen Akademie der Wissenschaften (IMBA ) erforscht an Organoiden, wie manche Viren schwere Fehlbildungen im menschlichen Gehirn auslösen können.

Ein Forschungsteam der Charité – Universitätsmedizin Berlin hat anhand von Gewebeproben verstorbener COVID-19-Patienten analysiert, auf welche Weise das neuartige Coronavirus ins Gehirn eindringen kann und wie das Immunsystem dort auf das Virus reagiert.




























