
Best Paper Award: Hirntumore mit Künstlicher Intelligenz bewerten
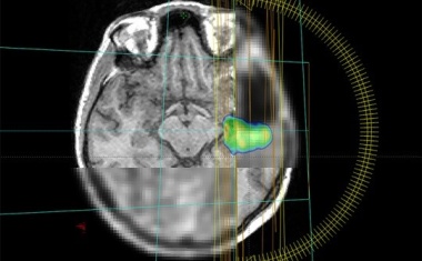
Ein Einsatzgebiet von Künstlicher Intelligenz (KI) ist die Medizin, vor allem die Diagnostik. So können beispielsweise Scans mit Hilfe von Algorithmen maschinell ausgewertet werden.

Ein Einsatzgebiet von Künstlicher Intelligenz (KI) ist die Medizin, vor allem die Diagnostik. So können beispielsweise Scans mit Hilfe von Algorithmen maschinell ausgewertet werden.

Mit 1,2 Mio. Euro fördert die Europäische Union ein internationales Projekt unter Leitung des Universitätsklinikums Freiburg zur Bestrahlung gefährlicher Hirntumore.

Lokal fortgeschrittene Kopf- und Halstumore zählen zu den tödlichsten Krebsformen überhaupt.

Kann elektromagnetische Strahlung von Mobil- und Schnurlostelefonen Gehirntumore bei Kindern und Jugendlichen verursachen? Dieser Frage geht die internationale MOBI-Kids-Studie nach, das bisher größte Forschungsprojekt zu diesem Thema.

Die Behandlung und Betreuung von Hirntumorpatienten im nördlichen Rheinland-Pfalz kompetent sicherstellen und optimieren: Das ist das Ziel des neu etablierten Hirntumorzentrums im Gemeinschaftsklinikum Mittelrhein am Standort Ev. Stift St. Martin in Koblenz.

