
Konzentration auf Geschäftsbereich „Aktive Implantate“
Biotronik gibt eine strategische Entscheidung zur Stärkung seiner Führungsposition bei aktiven implantierbaren medizinischen Geräten und in der digitalen Gesundheitsversorgung bekannt.

Biotronik gibt eine strategische Entscheidung zur Stärkung seiner Führungsposition bei aktiven implantierbaren medizinischen Geräten und in der digitalen Gesundheitsversorgung bekannt.

Für seine Forschungen an neuartigen Neuroimplantaten hat Dr. Simon Binder eine Förderung der Carl-Zeiss-Stiftung in Höhe von 1.5 Millionen Euro für fünf Jahre eingeworben.

Die Europäische Union finanziert ein Projekt für die Entwicklung eines neuen Konzepts der Informationsübertragung für aktive implantierte medizinische Geräte im Rahmen ihres Förderprogramms Horizont Europa.

Implantate, die bei Brüchen die Knochenteile fixieren, sollen selbst die Heilung permanent überwachen und gezielt fördern – etwa mit Mikro-Massagen an der Bruchstelle.

Jan Lützelberger hat am Institut für Sensor- und Aktortechnik (ISAT) der Hochschule Coburg die Grundlagen für ein neues medizintechnisches Verfahren entwickelt.

Immer jüngere Patienten benötigen einen künstlichen Hüft- oder Kniegelenkersatz. Da sie körperlich aktiver sind als ältere Menschen, steigt das Risiko für einen erneuten Eingriff.

Der mit 1.000 Euro dotierte Bethesda-Forschungspreis des Wissenschaftsforums Geriatrie (WfG) geht an Dr. Sabine Schlüssel, Assistenzärztin am Klinikum der Ludwig-Maximilians-Universität München.

Sichere MRT-Untersuchungen auch für Patienten mit aktiven oder passiven Implantaten – darauf zielt ein jüngst gestartetes Forschungsprojekt an der OTH Amberg-Weiden ab.

Wissenschaftler*innen der Universität Siegen simulieren Bruchvorgänge am Computer und können so zur Optimierung von Knochenersatz aus dem 3D Drucker beitragen.

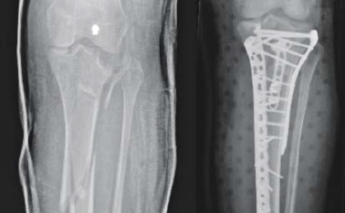
Eine neue Generation intelligenter Implantate soll direkt am Knochen überwachen, ob Schienbeinbrüche heilen. Bei Bedarf sollen sie den Heilungsprozess über gezielte Bewegung direkt an der Bruchstelle aktiv anregen.

Zwei Studien geben Hilfestellung auf dem Weg zur Marktreife von Sensoren in Implantaten oder Applikationssystemen.

Molekular-Mikroskopie ermöglicht als Brückentechnologie zwischen Molekularbiologie, Mikrobiologie und Pathologie eine deutlich schnellere und sensitivere Diagnostik für kritisch Kranke.

Implantate können den Körper aktiv unterstützen: So etwa Herzschrittmacher, Neuroprothesen oder Cochlea-Implantate. Künftig sollen aktive Implantate kleiner, energiesparsamer und vor allem patientenschonender werden.

Heraeus Medical und die Stiftung Pro-Implant bündeln ihre Kompetenzen für ein optimales Behandlungskonzept bei Implantat-assoziierten Infektionen, insbesondere in der Orthopädie und Unfallchirurgie.

Durch moderne Implantate, bessere Nachbehandlung und zielgerichtete Empfehlungen zur Prophylaxe kann die Unfallchirurgie den wachsenden Ansprüchen an Mobilität und Schmerzfreiheit von Best Agern plus immer besser gerecht zu werden.





















