
Münchner Forschungsduo mit Arbeit zur Lungenfibrose ausgezeichnet
Ihre wissenschaftliche Forschung wird für die zukünftige Therapieentwicklung bei Lungenfibrose einen wichtigen Beitrag leisten.

Ihre wissenschaftliche Forschung wird für die zukünftige Therapieentwicklung bei Lungenfibrose einen wichtigen Beitrag leisten.

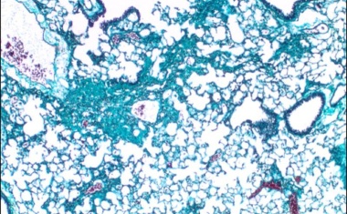
Forschende des Centrums für Thrombose und Hämostase der Universitätsmedizin Mainz und der Boston University haben einen Mechanismus entdeckt, der die Entstehung einer sogenannten Lungenfibrose fördert.

Ein Team um Prof. Dr. Danny D. Jonigk (Aachen und Hannover), PD Dr. Maximilian Ackermann (Wuppertal und Mainz) und Univ.-Prof. Dr. Dr. Detlef Schuppan (Mainz) konnte jetzt in einem ganzheitlichen Forschungsansatz den bislang unbekannten Mechanismus aufdecken, der maßgeblich zum bindegewebigen Umbau der Lunge bei schwerem COVID-19 beiträgt.

Anhaltende Atemprobleme nach einer COVID-19-Erkrankung können ein Hinweis auf eine Lungenfibrose sein, auch wenn der Krankheitsverlauf dafür keine Anzeichen gab.

Bei der Mehrheit der Patienten mit schwerem COVID-19 vernarbt die Lunge in außergewöhnlich starkem Ausmaß.

Ein Forschungsteam aus den Universitäten bzw. Universitätsspitälern von Zürich, Oslo und Bern präsentiert Resultate zur KI-getriebenen Bildanalyse von Lungenfibrose, die bei der seltenen Systemischen Sklerose auftritt.