
Neue diagnostische Marker für Multiple Sklerose
Forscher des Max-Planck-Instituts für Biochemie und der Technischen Universität München haben neue diagnostische Marker für Multiple Sklerose (MS) in Gehirn- und Rückenmarksflüssigkeiten entdeckt.

Forscher des Max-Planck-Instituts für Biochemie und der Technischen Universität München haben neue diagnostische Marker für Multiple Sklerose (MS) in Gehirn- und Rückenmarksflüssigkeiten entdeckt.

2024 hat Siemens Healthineers einen Biomarker zur Risikobewertung bei schubförmiger Multipler Sklerose (RMS) auf den Markt gebracht.

Multiple Sklerose: Interferon oder Glatirameracetat? Beide Medikamente gelten als gleichwertig hilfreich gegen Multiple Sklerose. Nun gibt es einen eindeutigen Maßstab für die Medikamentenwahl.

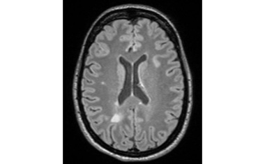
Die Messung des Myelinwasseranteils in Kombination mit biophysikalischer Modellierung stellt einen entscheidenden Fortschritt in der MS-Diagnostik dar.

Eine Zwillingsstudie spürt im Dünndarm Bakterien auf, die eine Rolle bei der Entstehung von Multipler Sklerose spielen.

Universitätsklinikum Bonn stellt neue geschäftsführende Direktorin der Neurologie und Direktorin der Klinik für Neuroimmunologie vor.

Forscher identifizieren mit dem Protein MLC1 ein Zielantigen bei Multipler Sklerose.

Der älteste Medizinpreis Deutschlands wurde an sechs Forschende des Universitätsklinikums Hamburg-Eppendorf (UKE) verliehen.

Auf dem diesjährigen DGN-Kongress, der unter dem Motto „Neurologie und Immunologie“ stand, wurden zahlreiche neue Daten aus aktuellen Therapiestudien zur Multiplen Sklerose vorgestellt.

Es gibt Hoffnung auf neue therapeutische Ansätze für eine Verlangsamung des Krankheitsverlaufs.

Erstmals liegen klare Entscheidungskriterien für die Therapieanpassung bei Multipler Sklerose vor.

Eine chronische Stressreaktion der Nervenzellen führt zum kontinuierlichen Zelltod bei Multipler Sklerose.

NAKO Forschende unter Federführung des Universitätsklinikums Hamburg-Eppendorf (UKE) und des Universitätsklinikums Heidelberg (UKHD) haben nun untersucht, welche Besonderheiten in Kindheit und Jugend das Erkrankungsrisiko beeinflussen könnten.

Am Welttag der Multiplen Sklerose steht in diesem Jahr der Umgang mit der Diagnose im Fokus. Eine junge Patientin findet nach ihrer MS-Diagnose Halt und Kraft im Rennradsport.

Am 30. Mai ist Welt-MS-Tag. Die Multiple-Sklerose-Forschung ist heute so aktiv wie nie zuvor, die Forschungsergebnisse der letzten zwölf Monate sprechen für sich.

Am 30. Mai ist Welt-MS-Tag. Die Multiple-Sklerose-Forschung ist heute so aktiv wie nie zuvor, die Forschungsergebnisse der letzten zwölf Monate sprechen für sich.

MS ist nicht gleich MS. Auf dem Weg zu einer personalisierten Therapie wurde nun ein entscheidender Meilenstein erreicht.

Die Klinik für Neurologie an der Zentralklinik Bad Berka ist durch die Deutsche Multiple Sklerose Gesellschaft (DMSG) als „Anerkanntes MS-Zentrum" zertifiziert worden.

Neuaufstellung der Geburtshilfe, Kinder- und Jugendmedizin bei den DRK Kliniken Berlin Westend

ETH-Forschende haben ein neues Verfahren der Magnetresonanztomographie (MRT) entwickelt mit dem Multiple Sklerose (MS) frühzeitig erkannt und besser überwacht werden kann.

Forscherinnen und Forscher des Uniklinikums Würzburg zeigen in Nature Communications, wie Zellen vom Gehirn in den Darm wandern und so die Ausbreitung neurologischer Erkrankungen wie Parkinson vermitteln.

Ein neu entwickeltes Medikament bringt Hoffnung für MS-Patient*innen. Mithilfe eines neuartigen Molekül-Shuttles können Antikörper direkt ins Gehirn transportiert werden. Das MS-Zentrum am Uniklinikum Dresden beteiligt sich an einer weltweiten Studie zur Sicherheit.

Bei MS-Betroffenen schädigen fehlgeleitete Immunzellen die Hüllen der Nervenzellen im Gehirn. Forschende der MHH haben einen Mechanismus entdeckt, wie sich diese mit Hilfe einer körpereigenen Zuckerverbindung reparieren lassen.

LMU-Forschende zeigen, dass autoaggressive T-Zellen in einem bestimmten Bereich des Darmtrakts aktiviert werden – und zwar in Abhängigkeit vom Mikrobiom.

Künstliche Intelligenz ist in der Medizin ein Hoffnungsträger geworden. Helfen soll sie auch bei der Behandlung der Multiplen Sklerose (MS).

Weil sie so unterschiedlich verläuft, gilt die Multiple Sklerose (MS) als die „Krankheit mit tausend Gesichtern“. Die Komplexität der Erkrankung macht auch ihre Behandlung schwierig.

Ein Forscher der Hochschule Koblenz hat nun gemeinsam mit einem Team der University of California in San Francisco die weltweit erste Doppelblindstudie zu einem neuartigen Therapieansatz der Multiplen Sklerose durchgeführt.

Das Multiple-Sklerose-Zentrum der Klinik für Neurologie am Universitätsklinikum Carl Gustav Carus Dresden unter der Leitung von Prof. Tjalf Ziemssen hat im Mai das erste Level des Lernspiels „Neuronaut Adventure“ veröffentlicht. Dafür arbeiten die Medizinerinnen und Mediziner mit einem interdisziplinären Team um den Spieledesigner und Mediziner Oscar Freyer und den Cartoonisten Phil Hubbe zusammen. Das Spiel richtet sich an MS-Betroffene und -Interessierte.

Als besonderes Highlight am diesjährigen „State of the Art Symposium" vom 28. Januar 2023 wurde der erste Forschungspreis der Schweizerischen Multiple Sklerose Gesellschaft verliehen. Der Preis ist mit 100.000 CHF dotiert und geht an Prof. Jens Kuhle und Prof. Tobias Derfuss.

In Laborversuchen haben Forschende vom St. Josef Hospital Bochum gezeigt, dass Propionat, das Salz einer kurzkettigen Fettsäure, Nerven schützen und bei ihrer Regeneration helfen kann.

MachineMD ist ein 2019 gegründetes Schweizer Medizintechnikunternehmen, das innovative Lösungen entwickelt, um die Früherkennung von Hirnerkrankungen wie Schlaganfall, Multiple Sklerose und Hirntumoren radikal zu verbessern.

Der Zusammenhang zwischen einer Infektion mit Epstein-Barr-Viren (EBV) und der Entstehung der Multiplen Sklerose (MS) wird zunehmend sicherer.

Wissenschaftler des Instituts für Neuroimmunologie und Multiple-Sklerose-Forschung der Universitätsmedizin Göttingen entdecken: Krankmachende Immunzellen nutzen die inneren, weichen Schichten der Hirnhäute, nicht dagegen die äußere harte Schicht, um in das Nervensystem einzudringen und eine zerstörerische Entzündung auszulösen.

Was Multiple Sklerose (MS) auslöst, ist bis heute ungeklärt. Eine potenzielle Ursache ist das Epstein-Barr-Virus, kurz EBV.

Die Roman, Marga und Mareille Sobek Stiftung hat Prof. Dr. Alexander Flügel, Professor für Neuroimmunologie und Direktor des Instituts für Neuroimmunologie und Multiple-Sklerose-Forschung der Universitätsmedizin Göttingen (UMG), mit ihrem Forschungspreis 2021 ausgezeichnet.




























