
Marburger Spitzenmediziner in Steuerungskreis gegen Postinfektiöse Erkrankungen berufen
Prof. Dr. Bernhard Schieffer gestaltet nationale Forschungsstrategie mit

Prof. Dr. Bernhard Schieffer gestaltet nationale Forschungsstrategie mit

Ein Marburger Lungenforscherteam identifiziert den Botenstoff CXCL11als Auslöser für eine Schleimüberproduktion und geschwächte Virusabwehr.


Der Marburger Pharmazeut Prof. Dr. Raphael Reher ist mit dem Forschungspreis der Deutschen Pharmazeutischen Gesellschaft (DPhG) ausgezeichnet worden.

Menschen, die an Parkinson leiden, büßen im Lauf der Zeit immer mehr Bewegungsfähigkeit ein und können irgendwann nicht mehr gehen.

Marburger Forscher haben eine vielversprechende Therapiestrategie zur Überwindung von Resistenzen entdeckt.

Eine Studie zeigt: Tumore verändern sich unter Chemotherapie – neue Subtypen könnten den Behandlungserfolg verbessern.

Ältere Menschen, COPD-Patient*innen sowie übergewichtige Personen haben ein höheres Risiko für eine Lungenentzündung.

Mit der Analyse von über 9.000 Mutationen legen Marburger Forschende Grundlagen für personalisierte Krebstherapien.

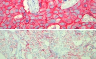
Marburger Pharmakolog*innen entschlüsseln den Effekt von Glukokortikoiden auf den Stoffwechsel geschädigter Nieren.

Lipoprotein hoher Dichte (High Density Lipoprotein, HDL) – das so genannte „gute Cholesterin“ – bietet einen Angriffspunkt für eine Behandlung des Post-COVID-19-Syndroms.

Prof. Dr. Martin Wolf, Direktor der Klinik für Hämatologie, Onkologie und Immunologie am Klinikum Kassel, begleitete ein Motto durch sein Berufsleben: „Versuche mit Patienten so umzugehen, wie du es dir für dich selbst wünschen würdest“, sagt der Chefarzt, der nach 21 Jahren am Klinikum Kassel Ende März in den Ruhestand geht.

Der Chemiker Dr. Johannes Karges aus der Anorganischen Chemie der Ruhr-Universität Bochum wurde mit dem Breast Cancer Research Junior Award 2023 ausgezeichnet.

Die US-amerikanische Forscherin Elizabeth Campbell wurde am 2. November für ihre herausragende Forschung zum Corona-Virus mit dem Emil von Behring-Preis der Philipps-Universität Marburg geehrt.

Ein deutsch-amerikanisches Forschungsteam untersuchte die Bildung von Nervenscheiden mittels Magnetresonanztomografie.

Übergewichtige Menschen mit Asthma unterscheiden sich auf molekularer Ebene von anderen Asthma-Patientinnen und -Patienten.

Die Blutgruppe eines Menschen beeinflusst sein Risiko, an Magenkrebs zu erkranken. Das ist eines der Ergebnisse einer Metastudie, die genetische Risikofaktoren für verschiedene Untertypen von Magenkrebs analysiert hat.

Maik Luu (29) hat die Ernennungsurkunde zum Juniorprofessor für Translationale Medizin am Uniklinikum Würzburg erhalten.

Mareike Lehmann nimmt mit neuer Emmy Noether-Nachwuchsgruppe an der Uni Marburg chronische Lungenkrankheiten ins Visier.

Treten bestimmte Immunzellen in Bauchspeicheldrüsentumoren auf, so geht dies mit einem verkürzten Überleben einher.

Internationaler Preis würdigt die Verzahnung der Forschung zur Parkinsonkrankheit mit der Versorgung von Betroffenen.

Der Fachbereich Medizin der Universität Marburg heißt Dr. Eckart von Hirschhausen als neuen Honorarprofessor willkommen.

Bei Kindern mit allergischem Asthma enthält das Blut andere Immunzellen als bei Gesunden. Das ist das Ergebnis einer Studie, die ein Team um die Marburger Biologin Prof. Dr. Magdalena Huber durchgeführt hat.

Zum 1. Januar 2022 wird Sebastian Spies neuer Krankenhausdirektor des DGD Diakonie-Krankenhaus Wehrda. Er folgt auf Volker Röhrig, der zum 31. Dezember als Geschäftsführer zum Kreiskrankenhaus Alsfeld wechselt. „DGD“ steht für „Deutscher Gemeinschafts-Diakonieverband.

Eine neue Unterform von Brustkrebs zeigt eine verbesserte Überlebenswahrscheinlichkeit der Betroffenen, außerdem hat sie Auswirkungen auf zukünftige Behandlungsmöglichkeiten.










