
Quantensensoren: Hochpräzise Messungen im bewegten Gehirn
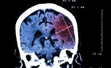
Was passiert bei einem epileptischen Anfall im Gehirn? Was nach einer Lähmung durch Schlaganfall? Was im Kopf von Parkinson-Erkrankten?

Was passiert bei einem epileptischen Anfall im Gehirn? Was nach einer Lähmung durch Schlaganfall? Was im Kopf von Parkinson-Erkrankten?

Die im Juni neu gegründete Klinik für Neuroradiologie am Klinikum St. Georg ist nun vollständig aufgestellt: Zum 1. Dezember hat Prof. Dr. med. Stefan Schob die Leitung der neuen Fachklinik übernommen.

270.000 Menschen pro Jahr erleiden in Deutschland einen Schlaganfall. Eine der häufigsten Folgen ist die Spastik.

In deutschen Krankenhäusern wird bei Herz-Kreislauf-Stillständen schnell reagiert: In 91,6 Prozent der Fälle beginnen Pflegekräfte oder andere Anwesende bereits mit Reanimationsmaßnahmen, noch bevor das Notfall- oder Reanimationsteam eintrifft.

Die Konkurrenz war groß: Unter 132 eingereichten Postern haben sich beim 1. Deutschen Schlaganfallkongress, dem DSG25, drei herausragende Kandidaten durchgesetzt.

Informatiker der FAU entwickeln ein Tool zur automatisierten Auswertung von Röntgenbreischluckaufnahmen.

Die Stroke Unit der Klinik für Vaskuläre Neurologie des Universitätsklinikums Bonn (UKB), unter der Leitung von Klinikdirektor Prof. Gabor Petzold, wurde nun auch von der European Stroke Organisation (ESO) offiziell zertifiziert.

Der internationale „World Brain Day“ am 22. Juli 2025 stellt die Prävention von neurologischen Erkrankungen wie Parkinson, Demenz oder Schlaganfall in den Vordergrund.

Krankenhaus Martha-Maria Halle-Dölau als "ESO Stroke Unit" ausgezeichnet

Das Klinikum Nürnberg, die PMU und das Universitätsspital Basel suchen in einer europaweiten Studie nach Optimierungen der Schlaganfallversorgung.

Das Nachsorgeprogramm „SOS-Care“ am Universitätsklinikum Carl Gustav Carus Dresden erweitert mit einem neuen Kooperationspartner die Reichweite des Angebots.

Bei einem Schlaganfall zählt jede Sekunde, um Hirnschädigungen zu vermeiden oder so weit wie möglich zu begrenzen.

Prof. Dr. Jan Stefan Kirschke (48) leitet seit 1. April 2025 die Abteilung für Diagnostische und Interventionelle Neuroradiologie am TUM Klinikum.

Forscher der Technischen Universität München (TUM) haben ein System entwickelt, mit dem Patienten schon kurz nach einem Schlaganfall wieder lernen können, von Lähmungen betroffene Arme und Hände zu bewegen.

Prof. Hagen B. Huttner übernimmt die Leitung der Klinik und Poliklinik für Neurologie am Universitätsklinikum Dresden.

Eine aktuelle Studie zeigt, wie sich das Gehirn in den ersten Monaten nach einem Schlaganfall reorganisiert, um das Sprachvermögen wieder zu verbessern.

Mittels Telemedizin wird die flächendeckende und qualitativ hochwertige Versorgung von Akutfällen sichergestellt. Ein KI-gestützter Algorithmus soll Rettungsdienste künftig bei Zuweisung in Krankenhäuser unterstützen.

Beeinträchtigungen von Kindern, die zum Beispiel nach einem früh im Leben erlittenen Schlaganfall ihre Hände nicht mehr bewegen können, sollen bald der Vergangenheit angehören.

Rund 4000 Menschen erleiden jährlich im Saarland einen Schlaganfall. Es ist somit die häufigste neurologische Erkrankung.

Die Stroke Unit an den Sana Kliniken Lübeck erhielt 2021 als erste Schlaganfalleinheit in Schleswig-Holstein die höchste EU-Zertifizierungsstufe und wurde nun erfolgreich rezertifiziert.

Nach einem Schlaganfall lassen sich bleibende Schäden oft reduzieren, wenn schnell gehandelt wird. Dabei ist es entscheidend, den Zeitpunkt des Schlaganfalls zu kennen.

Nach einem Schlaganfall lassen sich bleibende Schäden oft reduzieren, wenn schnell gehandelt wird. Dabei ist es entscheidend, den Zeitpunkt des Schlaganfalls zu kennen.

Der Kardiologe Dr. Kai-Uwe Jarr erforscht, warum das körpereigene Immunsystem die Ablagerungen in Blutgefäßen, die zu lebensgefährlichen Durchblutungsstörungen führen können, nicht erkennt und beseitigt.

Eine neue Ultraschall-Methode gewährt detaillierte Einblicke ins Gehirn von Neugeborenen.

Patient*innen mit einem akuten Schlaganfall und gleichzeitig bestehendem Vorhofflimmern haben ein besonders hohes Risiko für einen erneuten Schlaganfall und andere schwerwiegende kardiovaskuläre Ereignisse.

Prof. Dr. Jens Minnerup ist seit 1. September neuer Direktor der Klinik für Neurologie des Universitätsklinikums Schleswig-Holstein (UKSH), Campus Lübeck.

Eine neue Studie der Universitätsmedizin Magdeburg zeigt, dass eine frühe durch Gehirnaktivität gesteuerte Therapie die Beweglichkeit des Arms nach einem Schlaganfall deutlich verbessern kann.

Ein internationales Team von Wissenschaftlern unter Federführung des LMU Klinikums hat detailliert erforscht, warum es zu den häufig wiederkehrenden Schlaganfällen kommt.

Einem Schlaganfall folgt oft der zweite. Deshalb läuft weltweit die Suche nach Behandlungen, die ein Wiederauftreten von Schlaganfällen verhindern.

Herzkrank durch Schlaganfall? Eine neue LMU-Studie zeigt, warum es dazu kommt – und wie man dem in Zukunft entgegenwirken kann.

Der internationale „World Brain Day“ am 22. Juli 2024 stellt die Prävention von neurologischen Erkrankungen wie Parkinson, Demenz, Schlaganfall oder Migräne in den Vordergrund.

Neurologin Dr. Christine Tunkl wurde am Universitätsklinikum Heidelberg für die Kooperation in der Schlaganfallversorgung mit Engagement-Preis des Entwicklungsministeriums ausgezeichnet.

Prof. Roman Haberl geht nach 28 Jahren als Chefarzt der Klinik für Neurologie in der München Klinik (MüK) Harlaching in den Ruhestand. Als Visionär hat er die Schlaganfallversorgung in Deutschland entscheidend geprägt – in Harlaching entstand die bundesweit erste Stroke Unit.

Die Deutsche Schlaganfall Gesellschaft (DSG) stellt stolz ihre neue Schulungsplattform vor: eine deutschsprachige Schulung zur Anwendung der weltweit wichtigsten Skala zur Bemessung des Schweregrades eines Schlaganfalls.

Die Stroke Unit der Klinik für Neurologie am Krankenhaus Nordwest hat erneut das begehrte Zertifikat als überregionale Stroke Unit vom TÜV Rheinland erhalten.































