Aus den Kliniken

Prof. Dr. Max Georg Nedelmann leitet die Neurologie am Regio Klinikum Pinneberg

12.04.2013 - Die Neurologie am Regio Klinikum Pinneberg hat einen neuen Chefarzt. Prof. Dr. Max Georg Nedelmann verantwortet seit dem 1. April die 31 Betten große Fachabteilung mit...

Aus den Kliniken

UKM setzt sich bei bundesweiter Ausschreibung für Neurovaskuläres Netzwerk durch

04.03.2013 - Insgesamt 36 Zentren haben sich bundesweit als Neurovaskuläres Netzwerk beworben, das UKM (Universitätsklinikum Münster) gehört zu einem von 16 Zentren, welches aufgrund des...

Aus den Kliniken

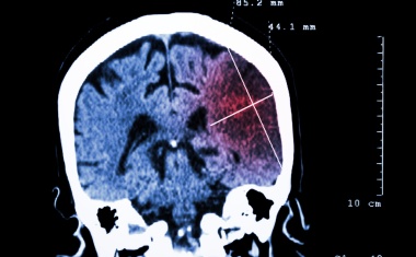
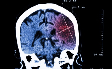
Telemedizin: Beurteilung von CT-Bildern aus der Ferne in hoher Qualität möglich

13.02.2013 - Speziell für die telemedizinische Versorgung von Schlaganfallpatienten geschulte Neurologen können auch von einem anderen Ort aus in guter Qualität CT-Bilder von akut betroffenen...

Aus den Kliniken

Schlaganfall-Spezialstation am Universitätsklinikum Leipzig erneut erfolgreich zertifiziert

08.10.2012 - Die Schlaganfall-Spezialstation am Universitätsklinikum Leipzig wurde zum dritten Mal erfolgreich zertifiziert. Sie war damit die dritte überregionale Stroke Unit in Deutschland...

Aus den Kliniken

Schlaganfallversorgung aus einer Hand

26.07.2012 - Als erste Stroke Unit in Deutschland wurde die Schlaganfalleinheit der Neurologischen Klinik Bad Neustadt als überregionale Comprehensive Stroke Unit zertifiziert. Der Begriff...

Aus den Kliniken

Grundsteinlegung für ein leistungsstarkes Krankenhaus Hofheim

16.05.2012 - In Anwesenheit von Staatsminister Axel Wintermeyer wurde am Mittwoch in Hofheim vor geladenen Gästen aus Politik und Gesundheitswesen der Grundstein für den Neubau des...

Gesundheitsökonomie

Zentrumsbildung in der Notfall- und Akutmedizin

09.05.2012 - Steigende Patientenzahlen, keine eigene Facharztausbildung für klinische Notfallmedizin und wechselnde politische Rahmenbedingungen: Die Notaufnahmen deutscher Krankenhäuser stehen...

Unternehmen

AMEOS stellt Mitarbeitenden das Konzept für die Klinika im Salzlandkreis vor

02.04.2012 - Die AMEOS Gruppe hat sich heute im Rahmen der Mitarbeiterversammlungen in Aschersleben, Bernburg und Schönebeck den neuen Kolleginnen und Kollegen vorgestellt und ihre...

Folgen Sie der
Management & Krankenhaus

 

 

MICROSITE Gesundheits-technologie

Lesen Sie hier

MICROSITE Digitale Identität

Lesen Sie hier

MICROSITE Smart Soft Locker Solutions

Lesen Sie hier

Folgen Sie der
Management & Krankenhaus

 

 

MICROSITE Gesundheits-technologie

Lesen Sie hier

MICROSITE Digitale Identität

Lesen Sie hier

MICROSITE Smart Soft Locker Solutions

Lesen Sie hier