
Prof. Johannes Breuer verabschiedet sich aus der Kinderkardiologie des UKB
Nach fast einem Vierteljahrhundert am Universitätsklinikum Bonn (UKB) verabschiedet sich Prof. Johannes Breuer, langjähriger Direktor der Kinderkardiologie, in den Ruhestand.

Nach fast einem Vierteljahrhundert am Universitätsklinikum Bonn (UKB) verabschiedet sich Prof. Johannes Breuer, langjähriger Direktor der Kinderkardiologie, in den Ruhestand.

Bei bestimmten Blutkrebserkrankungen führen Entzündungsprozesse im Knochenmark zu lebensbedrohlichen Vernarbungen.

Forschungsteam untersucht Zusammenspiel von Körper und Mikrobiom während Krankheitsphasen

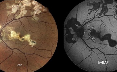
In einer internationalen klinischen Studie konnte bei Patient*innen mit geographischer Atrophie – einer schweren Spätform der altersabhängigen Makuladegeneration (AMD) – erstmals das zentrale Sehvermögen teilweise wiederhergestellt werden.

Zum 1. November übernimmt Prof. Dr. med. Uwe Reuter die Leitung des Universitätsklinikums Bonn (UKB) als Vorstandsvorsitzender und Ärztlicher Direktor.

Das MIB Future Panel 2025, organisiert vom Medical Imaging Center Bonn (MIB) und dem Transfer-Team der Medizinischen Fakultät Bonn, bot am 2. Oktober erneut eine spannende Plattform für den Austausch zwischen Wissenschaft, Klinik, Start-ups, Industrie und Investoren – mit einem besonderen Fokus auf medizinische Bildgebung und Künstliche Intelligenz (KI).

Das Motto des Welttags der Patientensicherheit am 17. September nimmt das UKB zum Anlass, die besondere Bedeutung einer sicheren Versorgung von Neugeborenen und Kindern hervorzuheben.

Die Stroke Unit der Klinik für Vaskuläre Neurologie des Universitätsklinikums Bonn (UKB), unter der Leitung von Klinikdirektor Prof. Gabor Petzold, wurde nun auch von der European Stroke Organisation (ESO) offiziell zertifiziert.

Am heutigen Internationalen Tag der Pflege hat das Universitätsklinikum Bonn (UKB) zum ersten Mal eine ganz besondere Auszeichnung verliehen: den renommierten DAISY Award.

Am Universitätsklinikum Bonn (UKB) fand am 11. März 2025 die Auftaktveranstaltung für einen interdisziplinären Austausch zum Thema Nachhaltigkeit im Gesundheitswesen statt.

Präzisere Diagnostik und verbesserte Untersuchungsmöglichkeiten für kleine und große Patientinnen und Patienten: Das Universitätsklinikum Bonn (UKB) hat seine kinderkardiologische und sportmedizinische Ambulanz mit neuer hochmoderner Technik ausgestattet.

Biologe der Uni Bonn und des UKB hat die zeitliche Dimension des Geruchssinns entdeckt

Forschende aus Bonn und der ganzen Welt haben das Genom von über 150.000 Menschen mit bipolarer Störung untersucht.

Höchste Auszeichnung für herausragende Leistungen in der HIV- und Corona-Forschung

Prof. Alexander Mustea, Direktor der Klinik für Gynäkologie und gynäkologische Onkologie des Universitätsklinikums Bonn, wurde in die hochangesehene Society of Pelvic Surgeons (SPS) aufgenommen.

Bonner Forschende analysieren Auswirkungen von KI auf Arbeitsprozesse in der medizinischen Bildgebung.

Die genetische Sicherung der Verdachtsdiagnose „Erblicher Darmkrebs“ hat große Bedeutung für die medizinische Versorgung der betroffenen Familien. Aber viele der in den bekannten Genen identifizierten Varianten können bisher hinsichtlich ihrer ursächlichen Rolle bei der Tumorbildung noch nicht sicher eingeordnet werden.

Leila Harhaus-Wähner hat am 1. Oktober die Professur für Hand-, Replantations- und Mikrochirurgie der Charité – Universitätsmedizin Berlin übernommen.

Nachdem Prof. Holzgreve (67) nach mehr als 12-jähriger Tätigkeit zum 1. Oktober in den Ruhestand geht, hat der Aufsichtsrat des Universitätsklinikums Bonn (UKB) nun die interimistischen Besetzungen seiner Ämter als Ärztlicher Direktor und Vorstandsvorsitzender bekanntgegeben.

Die Klinik für Anästhesiologie und Operative Intensivmedizin (KAI) des Universitätsklinikums Bonn (UKB) ist dieses Jahr stolze 50 Jahre alt geworden.

Bonner Forschende klären den Einfluss von Behandlung mit Tetrahydrocannabinol auf den Stoffwechsel-Schalter mTOR. So kann eine niedrigdosierte Langzeitgabe von Cannabis nicht nur Alterungsprozesse im Gehirn umkehren, sondern hat auch eine Anti Aging-Wirkung.

Unter der Nutzung modernster Technologien wie KI, 5G und OP-Robotik hat sich das Universitätsklinikum Bonn (UKB) mit seinem Innovative Secure Medical Campus (ISMC) zu einem Vorreiter für einen Medizin-Campus der Zukunft entwickelt.

Forschenden des Universitätsklinikums Bonn (UKB) und der Universität Bonn haben nun einen hocheffektiven, kostengünstigen und reproduzierbaren Weg etabliert, aus humanen induzierten pluripotenten Stammzellen (hiPSCs) funktionale Endothelzellen für Tests in Zellkulturschalen zu erzeugen. Die Studienergebnisse sind jetzt im Fachjournal „Cardiovascular Research“ veröffentlicht.

Ob man schwer an COVID-19 erkrankt oder nicht, hängt unter anderem auch von genetischen Faktoren ab.

Prof. Dr. Nadine Scholten leitet jetzt die Forschungsstelle für Gesundheitskommunikation und Versorgungsforschung des Universitätsklinikums Bonn (UKB) und der Universität Bonn.

Das Universitätsklinikum Bonn (UKB) hat mit +21,7 Mio. EUR bei einer Bilanzsumme von 1,8 Mrd. EUR erneut das beste wirtschaftliche Ergebnis aller sechs Universitätskliniken NRWs und im Deutschland-Vergleich ebenso eine erfreuliche Spitzenposition erreicht.

Die Hypophosphatasie stellt eine seltene Erkrankung dar, für die bisher keine genauen Zahlen zur Verbreitung (Prävalenz) vorliegen.

Das neue Kinderwunschzentrum des Universitätsklinikums Bonn (UKB) wurde mit mehr als 150 Teilnehmenden, die einen interessanten Einblick in die Reproduktionsmedizin durch namhafte Referentinnen und Referenten erhielten, feierlich eingeweiht.

Dr. Jennifer Faber, seit März 2024 neue Leiterin der Spezialambulanz für Ataxien am Universitätsklinikum Bonn (UKB) und Wissenschaftlerin am Deutschen Zentrum für Neurodegenerative Erkrankungen (DZNE), wurde von der US-amerikanischen National Ataxia Foundation (NAF) mit dem „Pioneer SCA3 Translational Research Award“ ausgezeichnet.

Mit dem vom Stifterverband und dem Medizinischen Fakultätentag (MFT) an Privatdozenten Dr. Florian Recker vergebenen Preis für herausragende Lehre in der Hochschulmedizin wird in diesem Jahr ein Mitglied der medizinischen Fakultät Bonn und des Universitätsklinikums Bonn (UKB) ausgezeichnet.

Die Europäische Union fördert das Projekt Virtual Brain Twin in den nächsten vier Jahren mit rund 10 Millionen Euro. Die Universität Bonn ist beteiligt.

Uveitis-Experten aus Bonn, Berlin, Münster und Mannheim geben Überblick zu einer unterschätzten Bildgebung.

Seit zwölf Jahren schreibt die Deutsche Rheumastiftung den „Ideenwettbewerb“ aus, der einmal im Jahr innovative Forschungsideen fördert.

Mindestens genauso häufig wie Typ-1-Diabetes trifft auch der Alpha-1-Antitrypsin-Mangel (AATM) Menschen in Europa: Eins von 2.000–4.000 Neugeborenen leidet an dem seltenen Gendefekt.

Bonner Forschende entwickeln Verfahren zur dreidimensionalen Bildverarbeitung, um Rätsel bei Nierenentzündungen zu klären.