
„Bad Guys“ im Immunsystem entlarven
Dr. Julia Krug erhält für ihr innovatives Melanom-Projekt ein BZKF-Young Scientist Fellowship in Höhe von 100.000 Euro

Dr. Julia Krug erhält für ihr innovatives Melanom-Projekt ein BZKF-Young Scientist Fellowship in Höhe von 100.000 Euro

„Forschung hilft“, die Stiftung zur Förderung der Krebsforschung am Universitätsklinikum Würzburg, unterstützt in diesem Jahr 21 wissenschaftliche Projekte mit insgesamt knapp 235.000 Euro. Damit überschritt die von der Stiftung bislang ausgeschüttete Gesamtfördersumme die Millionengrenze.

Bonner Forschende enthüllen, wie ein winziges RNA-Molekül in der Niere eine tödliche Autoimmunerkrankung auslöst.

Wie Regierung und Universitätsmedizin Würzburg vor 175 Jahren den Grundstein in der „Kunst des Kinderheilens“ setzten.

Das bundesweite Netzwerk „Selbsthilfefreundlichkeit und Patientenorientierung im Gesundheitswesen“ hat dem Uniklinikum Würzburg zum dritten Mal die Auszeichnung „Selbsthilfefreundliches Krankenhaus“ verliehen.

Das Universitätsklinikum Würzburg beteiligt sich an der europäischen Initiative „PreventNCD“ zur Krebsprävention.

Die Universitätsmedizin Würzburg ist am bundesweiten Modellvorhaben zur Genomsequenzierung beteiligt.

„Best Student Paper Applied Data Science Track“ für Würzburger Brückenschlag zwischen semantischer Segmentierung und realer Wundversorgung

Prof. Dr. Hermann Einsele, Direktor der Medizinischen Klinik II am Universitätsklinikum Würzburg (UKW), wurde nun als Mitglied in die Bayerische Akademie der Wissenschaften aufgenommen.

Das Projektteam von ENDOLEASE gewinnt auch die dritte Phase des Businessplan Wettbewerbs Nordbayern.

Jan-Peter Grunz übernimmt die neue W2-Professur für Klinische Radiologie mit dem Schwerpunkt Muskuloskelettale Bildgebung an dem von Thorsten Bley geleiteten Institut für Diagnostische und Interventionelle Radiologie des Uniklinikums Würzburg

Das Fraunhofer-Institut für Produktionstechnologie IPT aus Aachen und das Universitätsklinikum Würzburg haben gemeinsam mit elf weiteren internationalen Partnern ein automatisiertes System zur Herstellung genetisch veränderter Immunzellen entwickelt.

Priv.-Doz. Dr. Manuel Krone ist seit dem 1. Juli kommissarischer Leiter des Zentrallabors am Universitätsklinikum Würzburg (UKW).

Martin Fassnacht ist in das Präsidentenamt der Deutschen Gesellschaft für Endokrinologie (DGE) gewählt worden.

Eine klinische Studie bestätigt die Wirksamkeit der Bewegungs-App Axia.

Das Universitätsklinikum Würzburg (UKW) hat den ersten Patienten der LION 1 Studie behandelt – mit ROR1-spezifischen CAR T-Zellen, einer neuartigen Immunzelltherapie gegen Krebszellen, die das Protein ROR1 auf ihrer Oberfläche tragen.

Medizinstudierende sind durch ein Training mit virtueller Realität langfristig besser auf medizinische Notfälle vorbereitet als durch traditionelle Lehrmethoden.

Telemedizin kann Leben retten – vor allem dort, wo der Weg zur kardiologischen Praxis weit ist.

Der Hauptpreis für Akademische Lehre der Deutschen Dermatologischen Gesellschaft e.V. ging in diesem Jahr an Prof. Dr. Henning Hamm von der Würzburger Universitäts-Hautklinik.

Prof. Dr. Claudia Sommer blickt auf 30 Jahre in der Neurologie zurück und beginnt ihre Seniorprofessur am Zentrum für interdisziplinäre Schmerzmedizin (ZiS).

Der Nierenspezialist wechselte von Hamburg nach Würzburg.

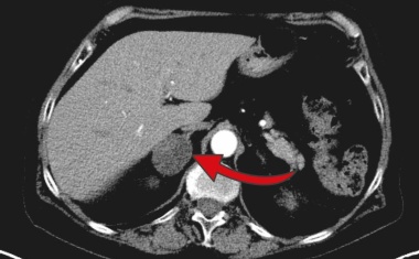
Die CHIRACIC-Studie zeigt überraschend positive Ergebnisse auf den Blutdruck nach der operativen Entfernung eines einseitigen Nebennieren-Zufalltumors mit leicht erhöhter Kortisolproduktion.

Der UKW-Klinikdirektor wurde für seine Forschungsarbeit zur Behandlung von motorischen Störungen bei Schizophrenie durch Hirnstimulation geehrt.

Franziska Karl-Schöller erhält den mit 36.000 Euro dotierten EFIC-Grünenthal-Grant für die Entwicklung eines „Innervierten in vitro Hautmodells für postherpetische Neuralgie“.

Erstmals wurde ein menschengroßer MPI-Scanner entwickelt und erfolgreich an einem realistischen Modell getestet.

Zum 1. Mai wechselt sie vom Universitätsklinikum des Saarlandes in Homburg an die unterfränkische Uniklinik. In Homburg war sie Direktorin der Klinik für Herzchirurgie.

Johannes Tran-Gia, Physiker in der Klinik und Poliklinik für Nuklearmedizin des Uniklinikums Würzburg (UKW), ist zum Universitätsprofessor für „Multimodale Bildgebung und Theranostik“ an der Universität Würzburg ernannt worden.

Thieme Management Award 2024 für Nora Schorscher, Leiterin des Projekts „Tele-Intensivmedizin in Bayern“

Interpretation und Vergleich der neuronalen Aktivität durch geometrisches Deep Learning

Fibromyalgie-Syndrom: Autoantikörper greifen die Strukturen des peripheren Nervensystems an.

Prof. Dr. Nurcan Üçeyler und Dr. Christoph Erbacher von der Neurologischen Klinik des Uniklinikums Würzburg (UKW) haben neue Forschungsergebnisse zum Fibromyalgie-Syndrom (FMS) veröffentlicht.

Das Universitätsklinikum Würzburg (UKW) hat die Patientenversorgung im neuen Zentrum für Altersmedizin in der Kantstraße (ZAM) gestartet. Am 14. Januar wurden die ersten Patienten stationär aufgenommen. Zuvor hatte es einen erfolgreichen Testbetrieb gegeben. Nun wird die stationäre Versorgung schrittweise ausgebaut.

Am Universitätsklinikum Würzburg wurde in den vergangenen sechs Monaten eine innovative Pilotstudie zum Virtual Reality (VR)-basierten interprofessionellen Teamtraining durchgeführt, um Medizinstudierende und Auszubildende in Pflegeberufen auf die gemeinsame Bewältigung von Notfallsituationen vorzubereiten.

Unter der Leitung von Forschenden des Universitätsklinikums Schleswig-Holstein (UKSH) und der Medizinischen Fakultät der Christian-Albrechts-Universität zu Kiel (CAU) untersucht die bundesweite Studie COVIDOM+ die langfristigen gesundheitlichen Folgen einer SARS-CoV-2-Infektion.

Durch Telemedizin und CDS-System lassen sich verzichtbare Vor-Ort-Besuche vermeiden und das Risikomanagement verbessern.






