Kontrastverstärkte Sonographie




Der kontrastmittelverstärkte Ultraschall, CEUS (Contrast Enhanced Ultrasound) nutzt gasgefüllte Mikrobläschen als Kontrastverstärker zur Erstellung des Sonographiebildes.
Die Signalverstärkung ermöglicht, zusammen mit einer geeigneten Software, ein erweitertes Einsatzspektrum der Sonografie. Prof. Dr. Dirk-André Clevert, Institut für Klinische Radiologie der LMU München, berichtet über seine Erfahrungen mit dem modernen High-End-Sonografie-Gerät RS80A Prestige der Firma Samsung HME.
M&K: Herr Prof. Clevert für welche diagnostischen Fragestellungen und therapeutischen Bereiche haben Sie CEUS bisher erfolgreich eingesetzt?
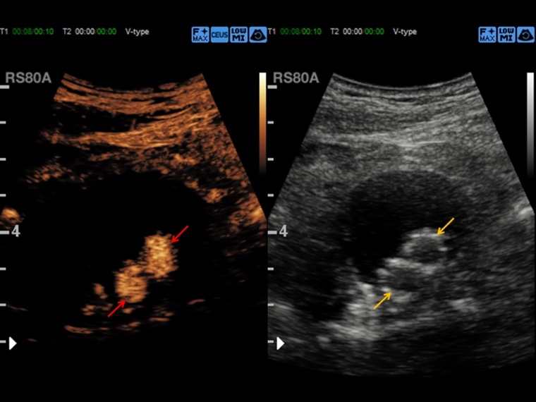
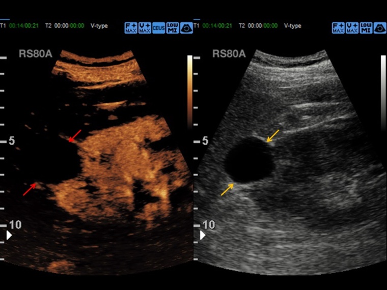
Prof. Dr. Dirk-André Clevert: CEUS eignet sich hervorragend für die Beurteilung der Makro- und Mikrozirkulation von Organsystemen, die grundsätzlich für sonografische Fragestellungen untersuchbar sind. Dies umfasst diagnostische Fragestellungen im Bereich der Beurteilung von Läsionen und Raumforderungen von parenchymatösen Oberbauchorganen, aber auch die vaskuläre Diagnostik von Gefäßen, z. B. bei Patienten nach endovaskulärer Aortenreparatur. Ein Großteil der Diagnostik in unserer Abteilung behandelt die Abklärung von unklaren Leberraumforderungen oder komplexer Nierenzysten.
Wieso ist ein Einsatz in diesen Bereichen sinnvoll und welche Vorteile bietet CEUS gegenüber alternativen Methoden?
Clevert: CEUS ist eine schnelle, leicht durchzuführende und kosteneffektive Methode zur Diagnostik von abklärungsbedürftigen Befunden. Der Vorteil der Methode liegt in der schnellen Verfügbarkeit und der Dynamik der Untersuchungsmethode. Können in alternativen radiologischen Schnittbildgebungen beispielsweise nur einzelne Kontrastphasen akquiriert werden, so ist es mit dem CEUS möglich, die dynamische Perfusion von Gewebe oder von Gefäßen über mehrere Minuten zu beobachten, und so differenzierte Aussagen zu treffen. Ein weiterer großer Vorteil der Methode besteht darin, dass das verwendete Kontrastmittel unabhängig von der Nieren- und Schilddrüsenfunktion verwendet werden kann und somit der CEUS auch bei Patienten mit Niereninsuffizienz bzw. mit hyperthyreoter Stoffwechsellage zum Einsatz kommen kann.
Welche Limitationen gelten für den Einsatz von kontrastmittelgestütztem Ultraschall?
Clevert: Prinzipiell gelten für den Einsatz von CEUS die gleichen Limitationen wie bei einer gewöhnlichen Ultraschalluntersuchung. Hier gibt es Einschränkungen der Untersuchbarkeit bei Überlagerungen durch Darmgas oder bei Läsionen, die sonografisch nicht eingesehen werden können.
Wie sieht es mit toxischen Effekten des Kontrastmittels aus?
Clevert: Das Kontrastmittel besteht aus drei unterschiedlichen Bestandteilen: Wasser als Trägerstoff, einer Lipidhülle und einem Gas, welches von der Lipidhülle umschlossen wird. Dabei ist das Gas chemisch völlig inert, und es ergibt sich eine gute Verträglichkeit des Kontrastmittels. Insgesamt zeigt das Kontrastmittel nur ein geringes Nebenwirkungsprofil, die wichtigste Nebenwirkung hierbei ist sicherlich eine allergische Reaktion auf das Kontrastmittel, welches in der Literatur mit einer Wahrscheinlichkeit von 1 in 10.000 Fällen beschrieben wird.
Gibt es Studiendaten, die die Spezifität und Sensitivität der Methode belegen, und, wenn ja, wie sehen die aus?
Clevert: Eine großangelegte deutsche prospektiv-randomisierte Multicenter-Studie hat dies in der Vergangenheit in der Charakterisierung von Leberläsionen untersucht. Dabei konnte gezeigt werden, dass der CEUS eine Sensitivität von über 95 % und eine Spezifität von 83 % in der Charakterisierung von fokalen Leberläsionen zeigt und somit eine hohe diagnostische Aussagekraft besitzt.
Welchen klinischen Stellenwert sprechen Sie der Methode zu?
Clevert: CEUS hat sich zwischenzeitlich einen festen Platz in der Bildgebung erarbeitet und leistet einen wichtigen Beitrag in der Abklärung einer Vielzahl von unklaren Befunden. Dabei gelingt es dem CEUS teilweise, differenzierte Aussagen treffen zu können, sodass er sich somit als komplementäre Option in der Diagnostik erweist. Dieser Eindruck bestätigt sich auch durch die immer weiter zunehmende Nachfrage der klinischen Kollegen und Patienten nach dieser Bildgebungsmodalität.
Welche weiteren Einsatzbereiche können Sie sich für die Methode vorstellen?
Clevert: Neben der reinen Diagnostik wird in Zukunft ein immer größerer Anteil der Methode auch in der Evaluation des Therapiemonitoring bzw. -ansprechens liegen. Vielversprechende Ansätze gibt es auch in der Entwicklung neuer Kontrastmittel, die spezifisch für eine bestimmte Krankheit verwendet werden können, wie beispielsweise zur Detektion des Prostatakarzinoms.
Zur Person:
Prof. Dr. Dirk-André Clevert leitet das Interdisziplinäre Ultraschall-Zentrum am Klinikum der Universität München-Großhadern, das im Jahr 2004 gegründet wurde und an dem viele Ultraschallaktivitäten des Hauses zusammenlaufen. Seit 2013 gehört er zum Vorstand der Sektion Radiologie der Deutschen Gesellschaft für Ultraschall in der Medizin und leitet diese als Vorsitzender seit 2015. Als Kursleiter und Kongresspräsident organisiert er zahlreiche nationale und internationale Ultraschallkurse und Kongresse.
Anbieter
Samsung Electronics GmbHAm Kronberger Hang 6
65824 Schwalbach/Ts.
Deutschland
Meist gelesen

Management & Krankenhaus Mediadaten 2026
Die Mediadaten liefern Ihnen umfassende Informationen zu Auflage & Verbreitung, der Leserschaft, Themenplänen & redaktionellen Schwerpunkten.

Gemeinschaftsklinikum Mittelrhein: Prof. Dr. Karsten Wrede ist neuer Chefarzt
Die Neurochirurgie an den Koblenzer Standorten erhält eine neue Führung

Prof. Dr. iur. Christian Höftberger ist neues KfH-Vorstandsmitglied
Das Präsidium des gemeinnützigen KfH Kuratorium für Dialyse und Nierentransplantation e.V. hat Prof. Dr. iur. Christian Höftberger mit Wirkung zum 1. Oktober 2025 in den Vorstand berufen. Zum 1. April 2026 wird er die Position des Vorstandsvorsitzenden von Prof. Dr. med. Dieter Bach übernehmen, der nach 13 Jahren in den Ruhestand tritt und sich neuen Aufgaben widmen wird.

Dr. Rolf Glazinski wird Chefarzt der Neurologie an der Wicker Klinik
Zum 1. Januar 2026 übernimmt Dr. Rolf Glazinski (61) die chefärztliche Leitung der Neurologie an der Wicker Klinik.

Prof. Dr. Julia Heinzelbecker übernimmt die Direktion der Klinik für Urologie am Universitätsklinikum Marburg
Das Universitätsklinikum Marburg freut sich, Prof. Dr. Julia Heinzelbecker als neue Direktorin der Klinik für Urologie begrüßen zu dürfen. Mit ihrer großen Erfahrung in der Patientenversorgung, Forschung und Lehre wird sie das Fachgebiet in Marburg weiter ausbauen und modern gestalten.










