Erstes künstliches Gewebemodell entwickelt, in dem Blutgefäße wachsen
Forscher vom Max-Planck-Institut für molekulare Biomedizin haben ein Zellkultursystem entwickelt, in dem sich erstmals in einem Gerüst aus künstlichen Materialien ein funktionsfähiges Blutgefäßsystem bildet.

Das Team um die Biomedizin-Ingenieurin Dr. Britta Trappmann untersucht, welche Materialeigenschaften einzelne Parameter der Gefäßbildung fördern – ein Schritt auf dem Weg zur Zukunftsvision implantierbarer künstlicher Gewebe. Die Studie ist in der Fachzeitschrift „Nature Communications“ erschienen.
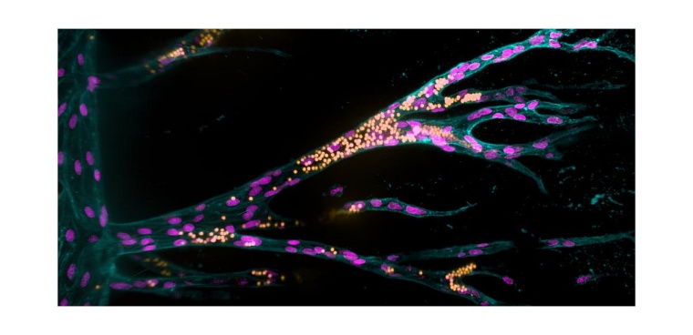
Im Labor Gewebe herzustellen, mit denen sich geschädigte Organe heilen oder ersetzen lassen, ist eine der großen Zukunftsvisionen der Medizin. Künstliche Materialien könnten sich als Gewebegerüste eignen, denn anders als natürliches Gewebe bleiben sie im Organismus lange genug stabil, so dass der Körper neue natürliche Strukturen ausbilden kann. Eine grundlegende Voraussetzung für funktionsfähige Gewebe ist, dass in ihnen Blutgefäße wachsen und sich mit dem Gefäßsystem des Organismus verbinden können, so dass das Gewebe durchblutet und mit Sauerstoff und Nährstoffen versorgt wird. Bisher ist allerdings fast nichts darüber bekannt, welche Materialeigenschaften das Wachstum von Blutgefäßen fördern.
Ein Team um die Biomedizin-Ingenieurin Dr. Britta Trappmann vom Max-Planck-Institut für molekulare Biomedizin in Münster hat jetzt ein Zellkultursystem entwickelt, in dem sich zum ersten Mal in einem Gerüst aus künstlichen Materialien ein funktionsfähiges Blutgefäßsystem bildet. Die Wissenschaftlerinnen und Wissenschaftler arbeiteten mit einem speziellen Hydrogel, dessen Eigenschaften sie kontrolliert verändern können, und ließen darin ein Ursprungsblutgefäß aus menschlichen Blutgefäßzellen wachsen. Sie untersuchten, wie die Materialeigenschaften der künstlichen Zellumgebung die Bildung weiterer Blutgefäße beeinflussten, und stimmten diese fein aufeinander ab. Ihre wichtigsten Erkenntnisse: „Das künstliche Gewebematerial muss bestimmte Adhäsionsmoleküle in der Membran von Blutgefäßzellen aktivieren, damit die Zellen in Gruppen aus dem Ursprungsgefäß auswandern und röhrenförmige Strukturen bilden – gleichzeitig muss das Material für die Blutgefäßzellen schnell genug abbaubar sein, damit sie Gefäße in ausreichender Größe formen können“, erklärt Britta Trappmann. Um sich an die natürliche Umgebung von Zellen anzunähern, müssten in weiteren Schritten zahlreiche weitere Biomoleküle und Zellen in das Modellsystem integriert werden, beispielsweise Signalproteine, Immunzellen oder die Blutgefäße stabilisierende Zellen. „Die Wirkung all dieser Faktoren ist in natürlichem Gewebe zudem gekoppelt und von Organ zu Organ unterschiedlich“, ergänzt die Wissenschaftlerin. All das zu verstehen, sei ein Fernziel. Das Wissen könnte man dann nutzen, um implantierbare Gewebe zu entwickeln.
Britta Trappmann und ihr Team arbeiteten bei ihren Untersuchungen mit Kollegen an der Universität Münster sowie Arbeitsgruppen aus München und North Carolina zusammen. Die Studie ist in der Fachzeitschrift „Nature Communications“ erschienen.













